menu
close

当院の症例

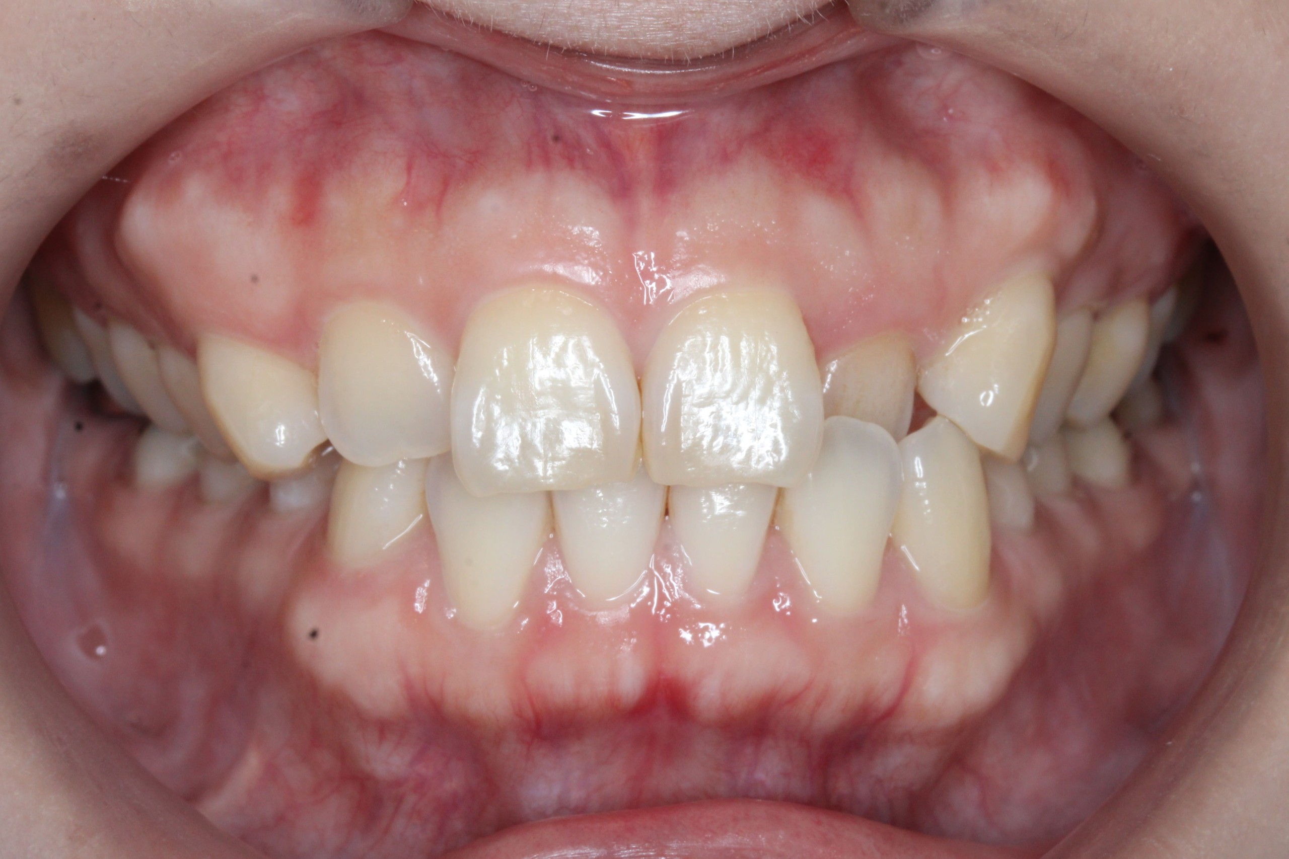
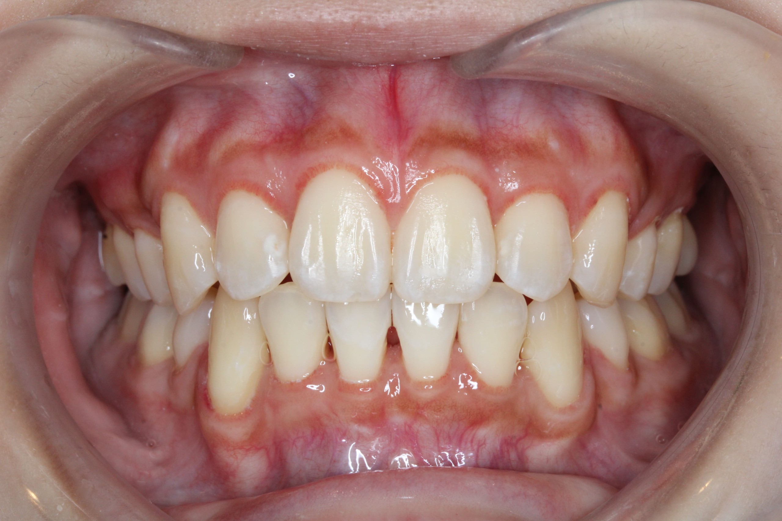
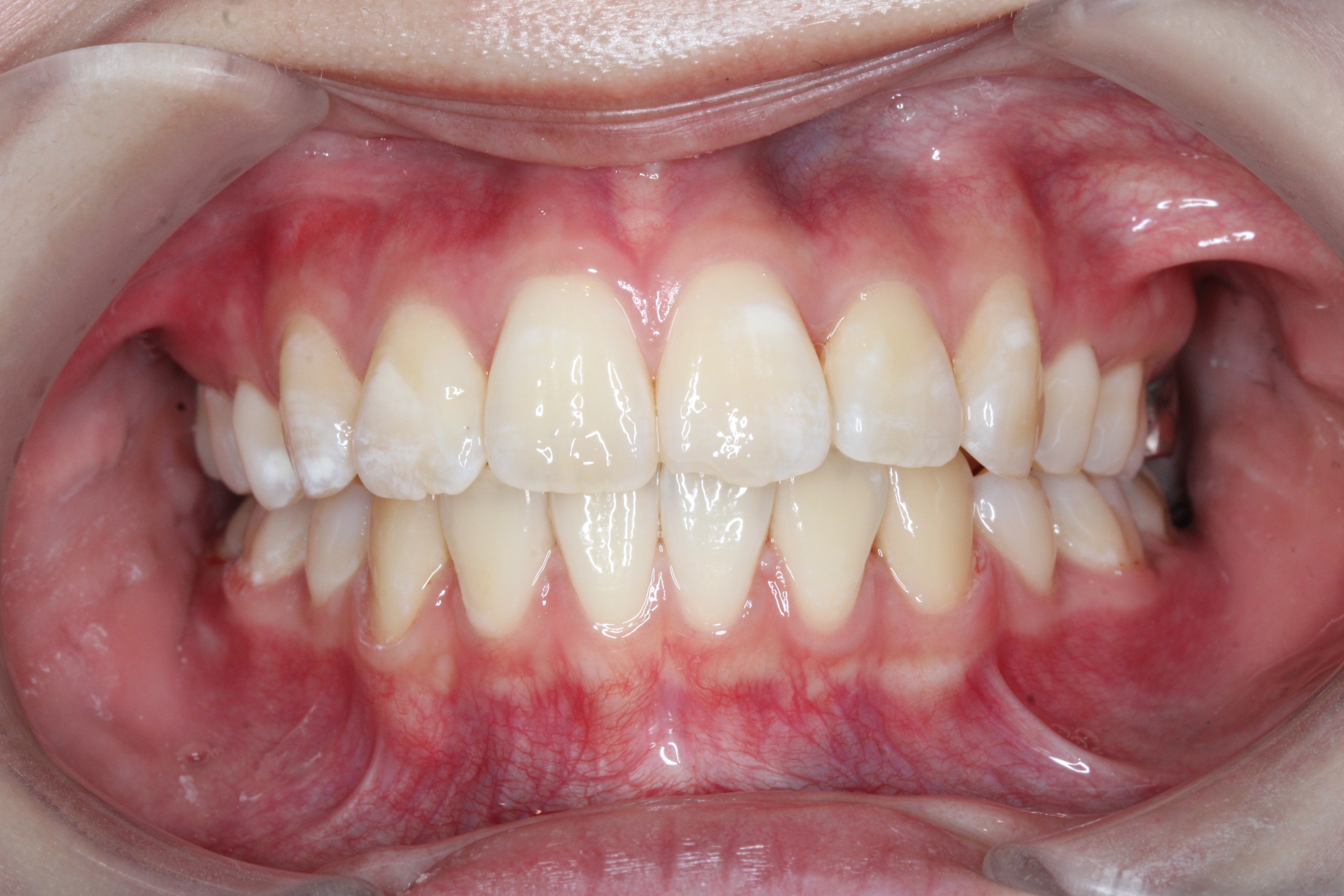
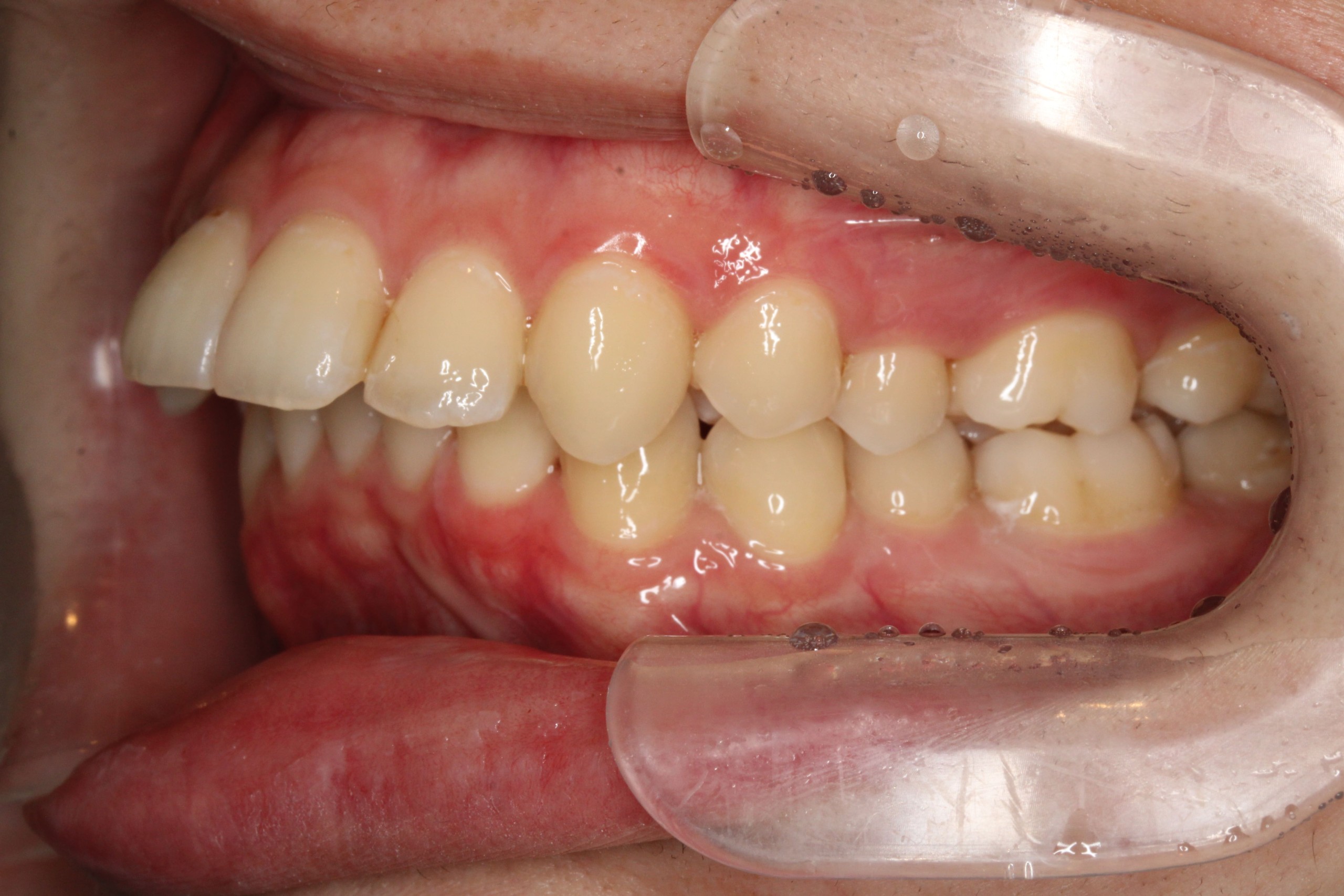
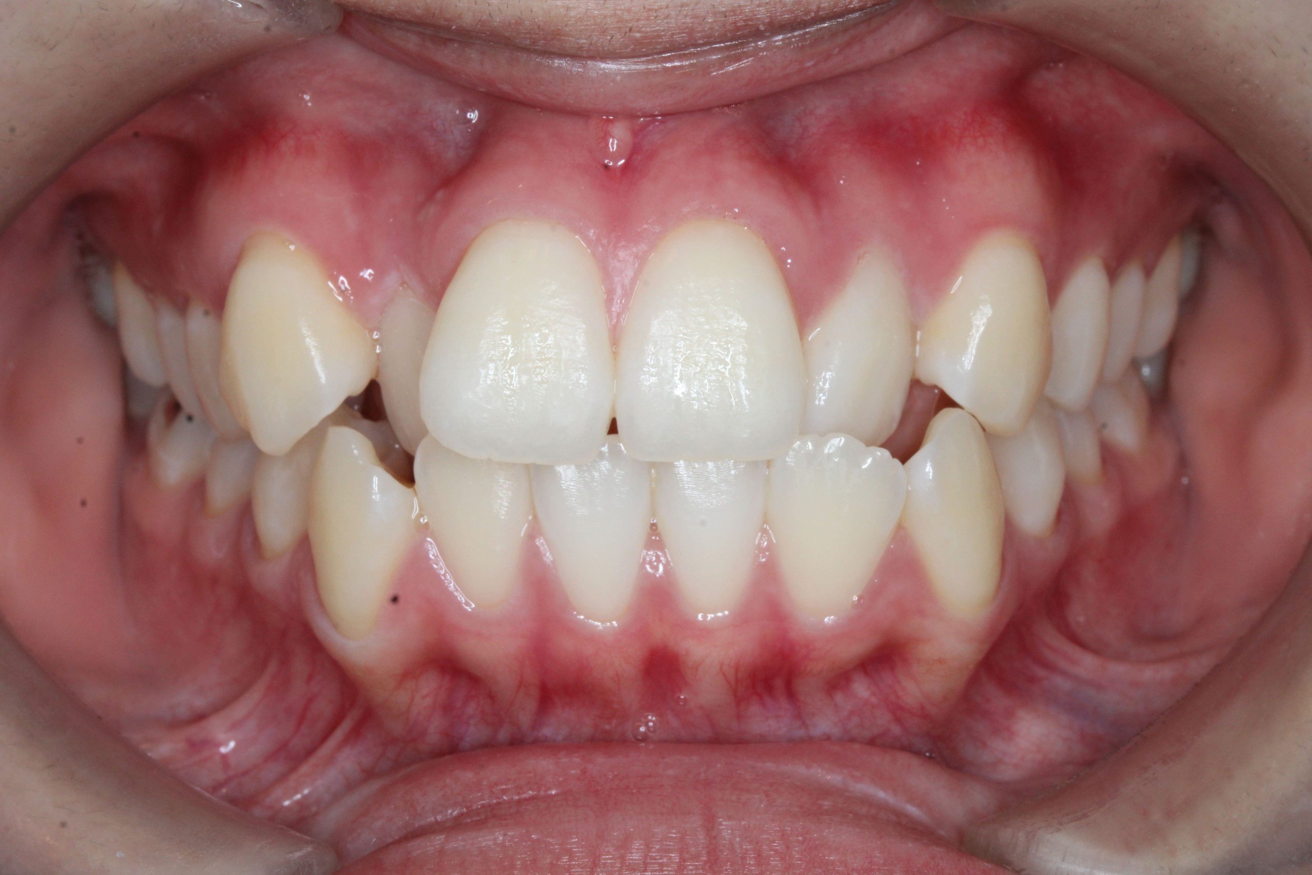
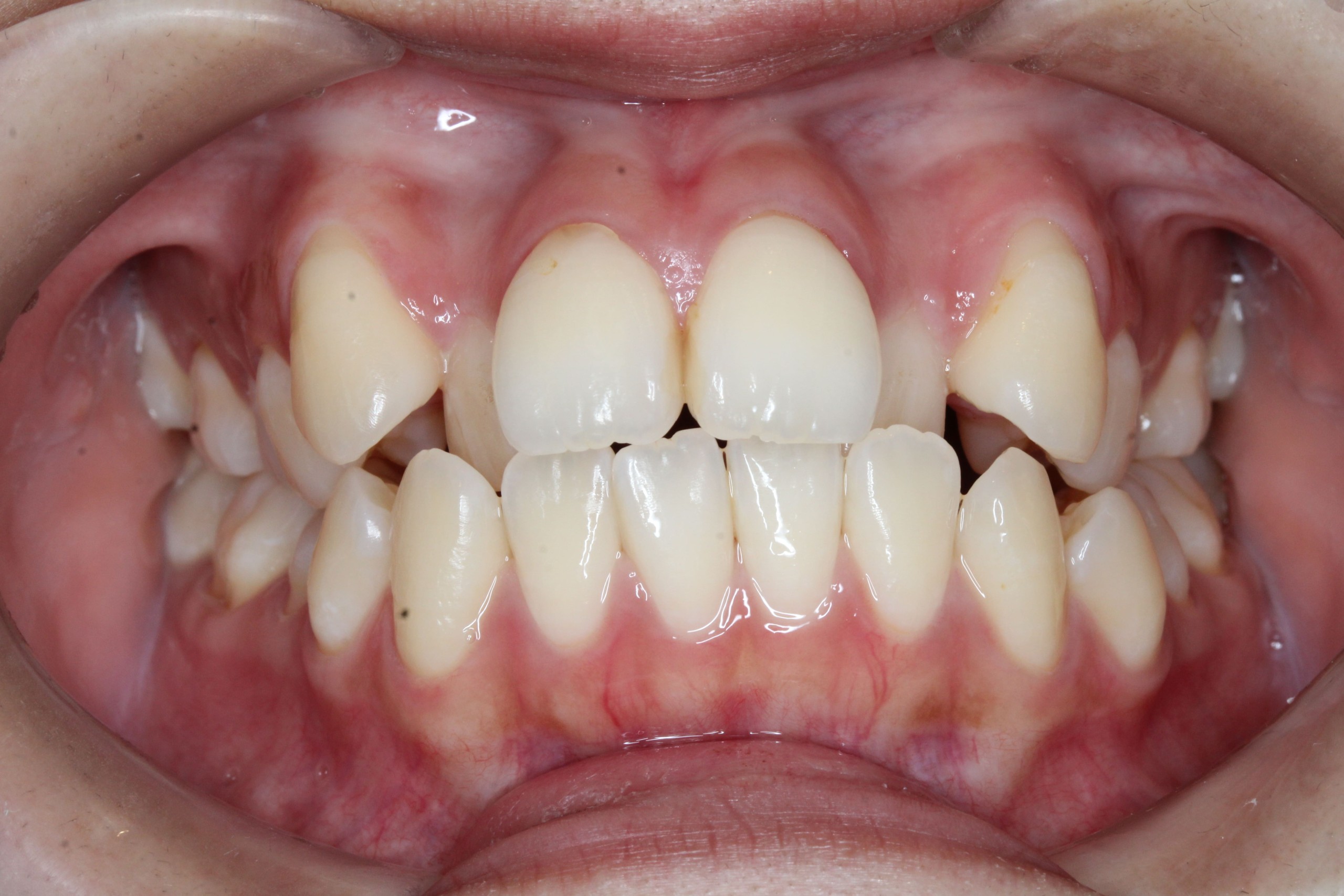
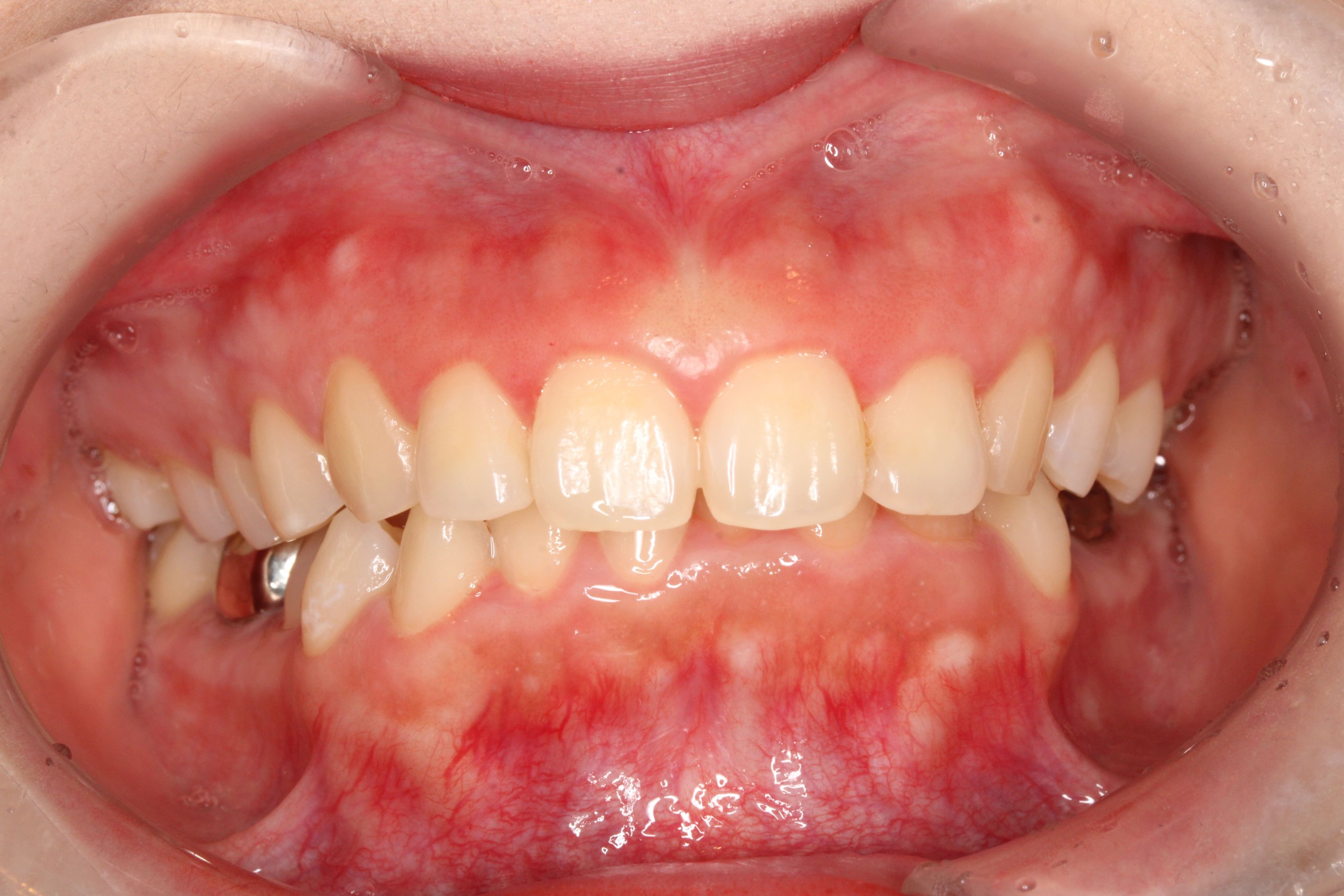
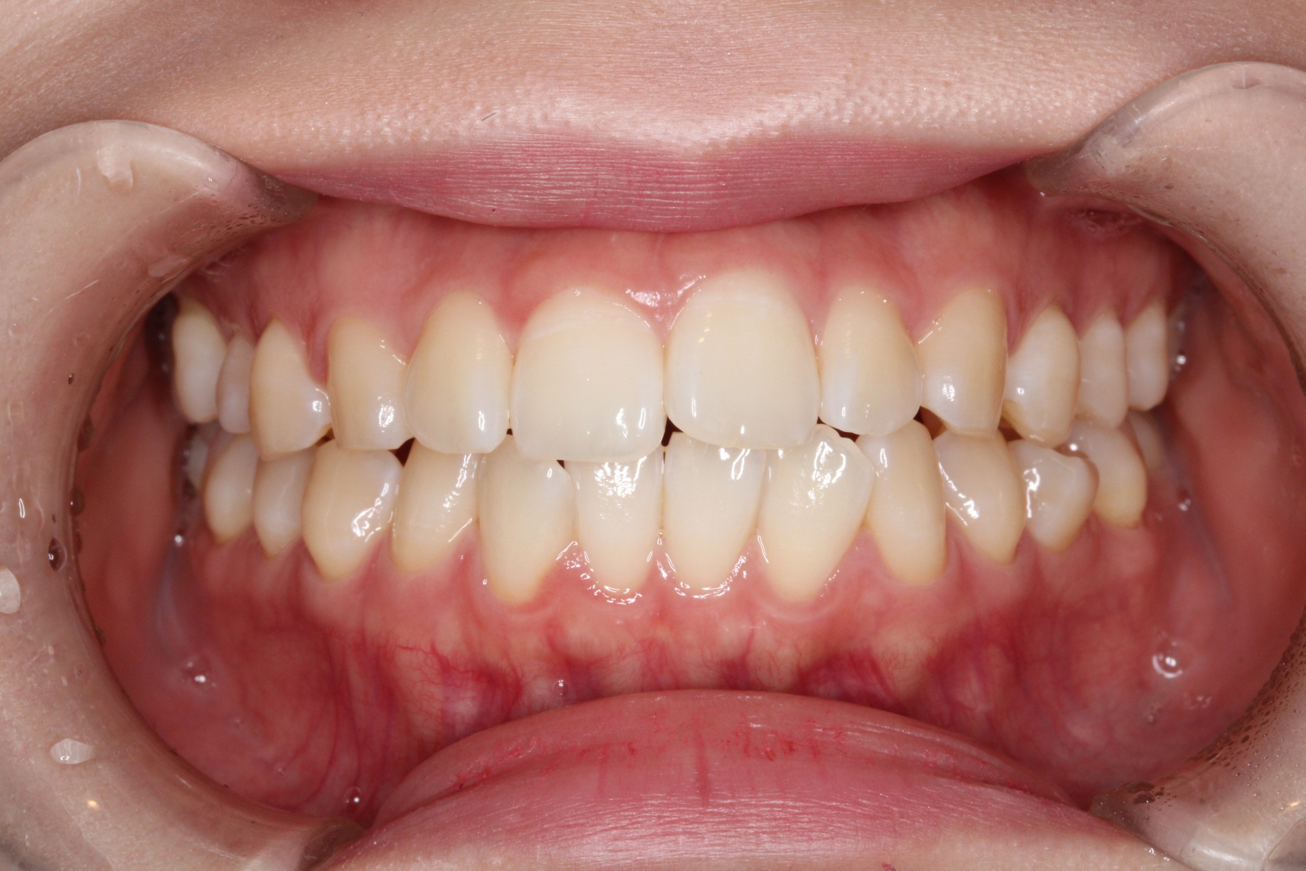
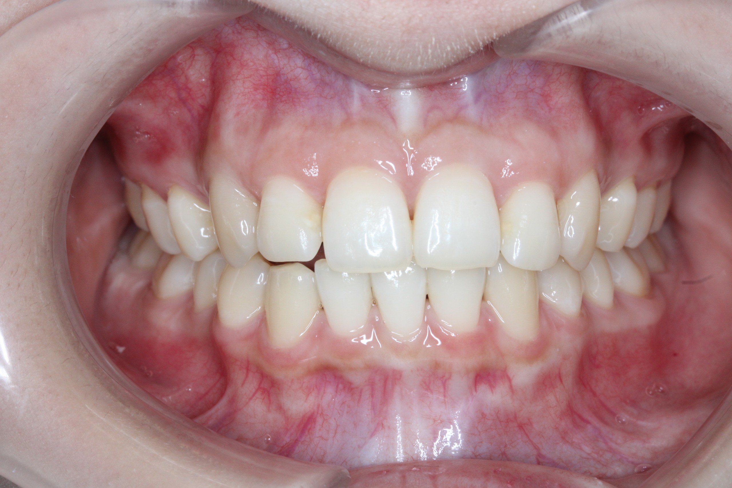
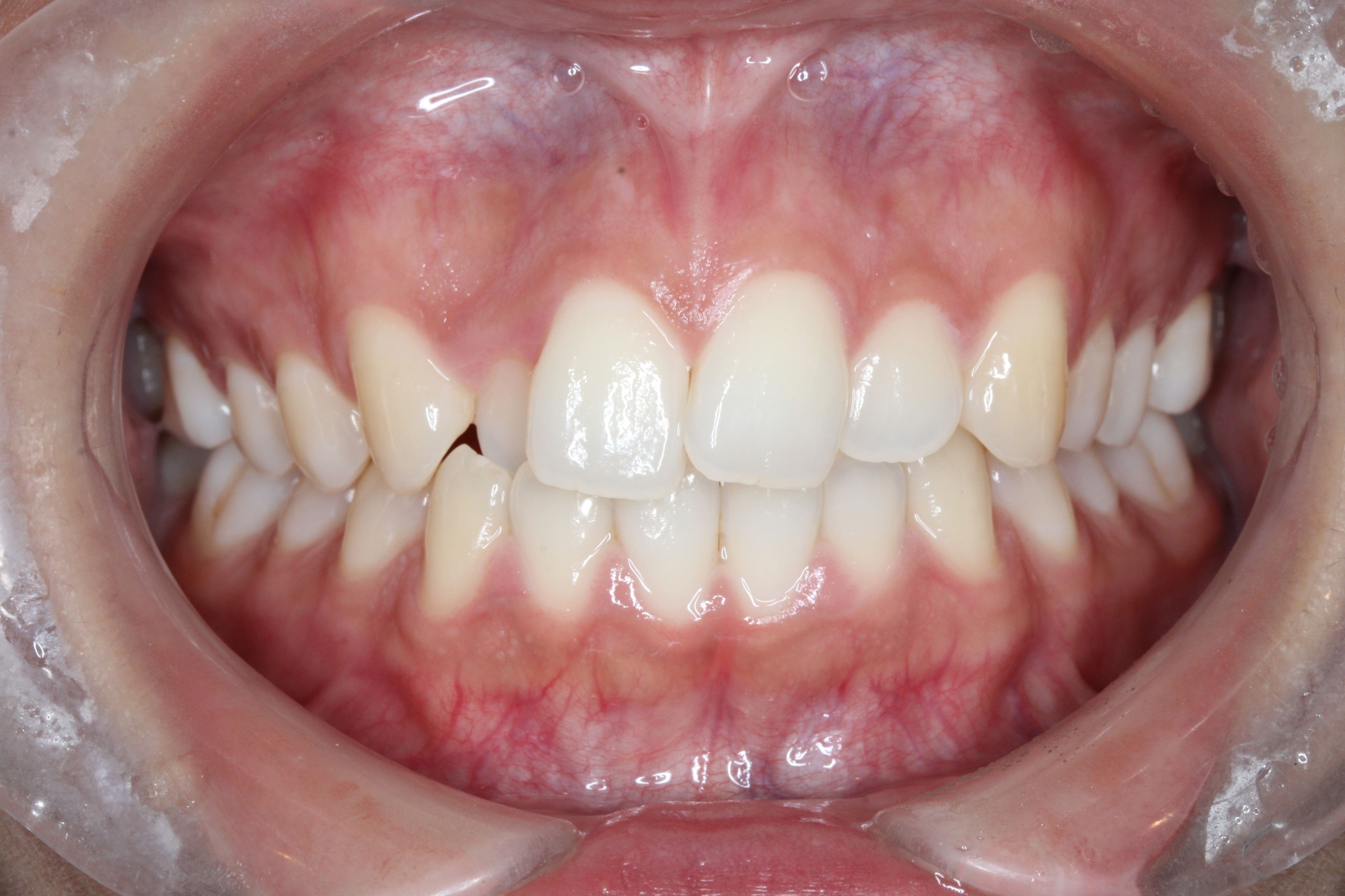
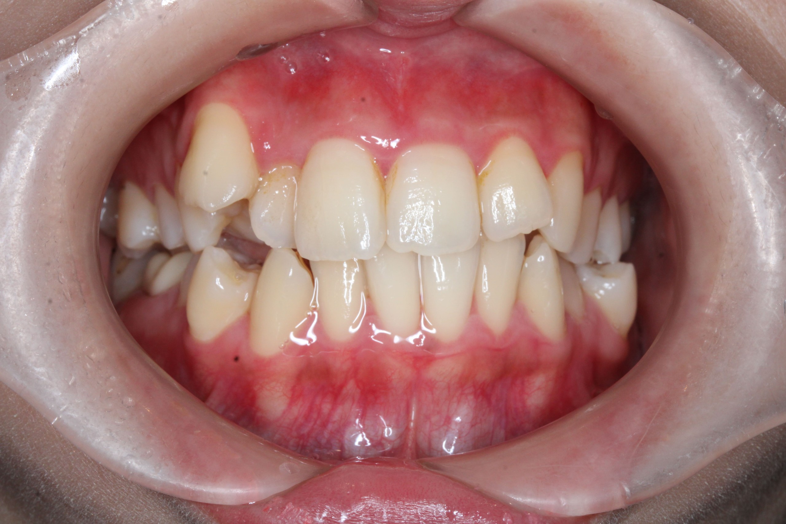
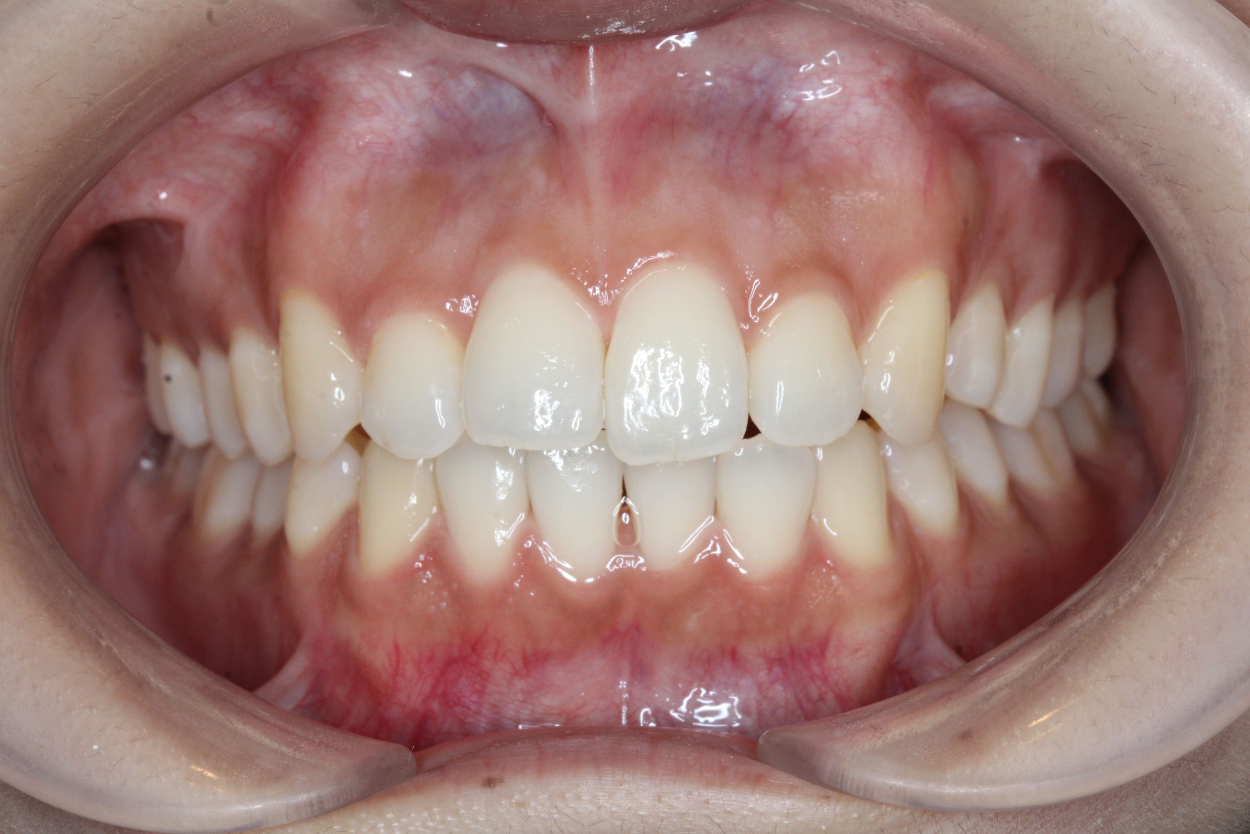
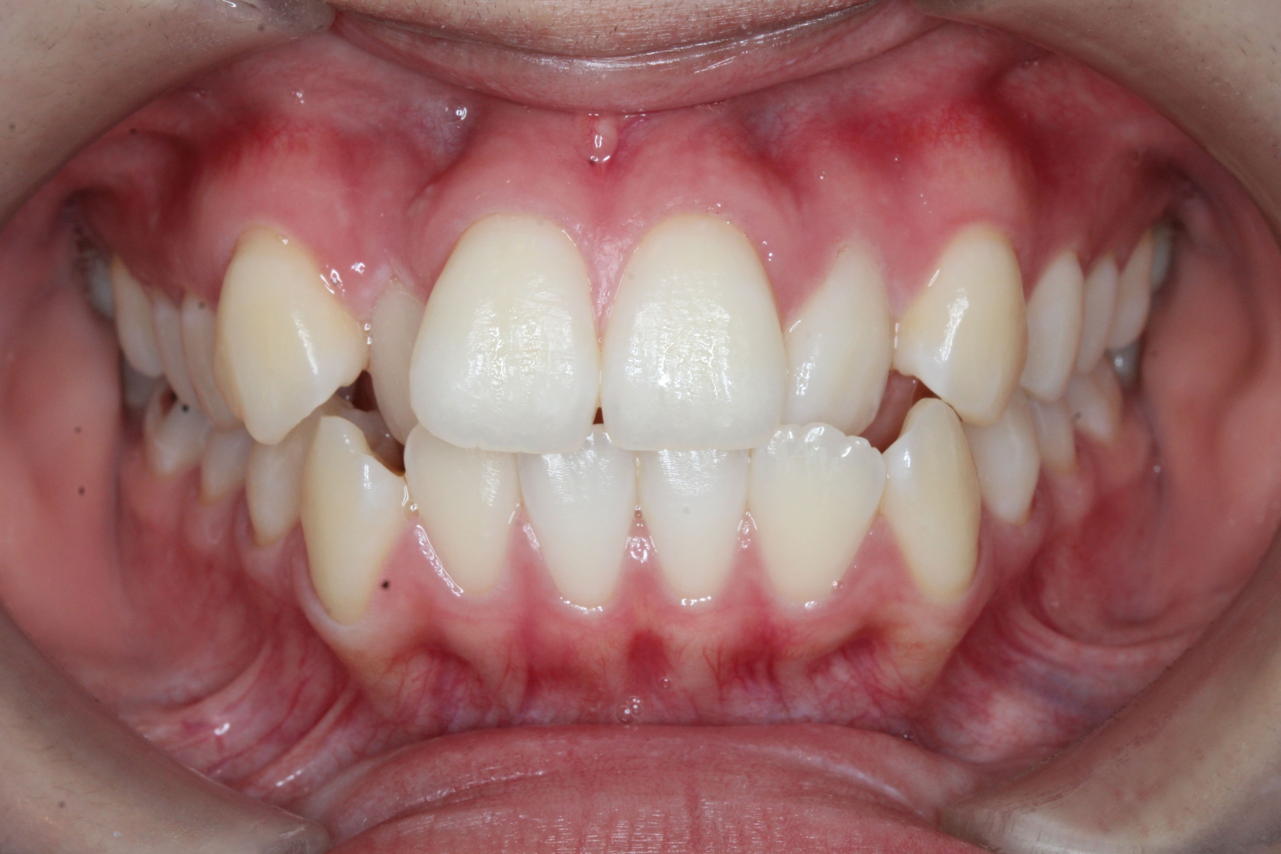
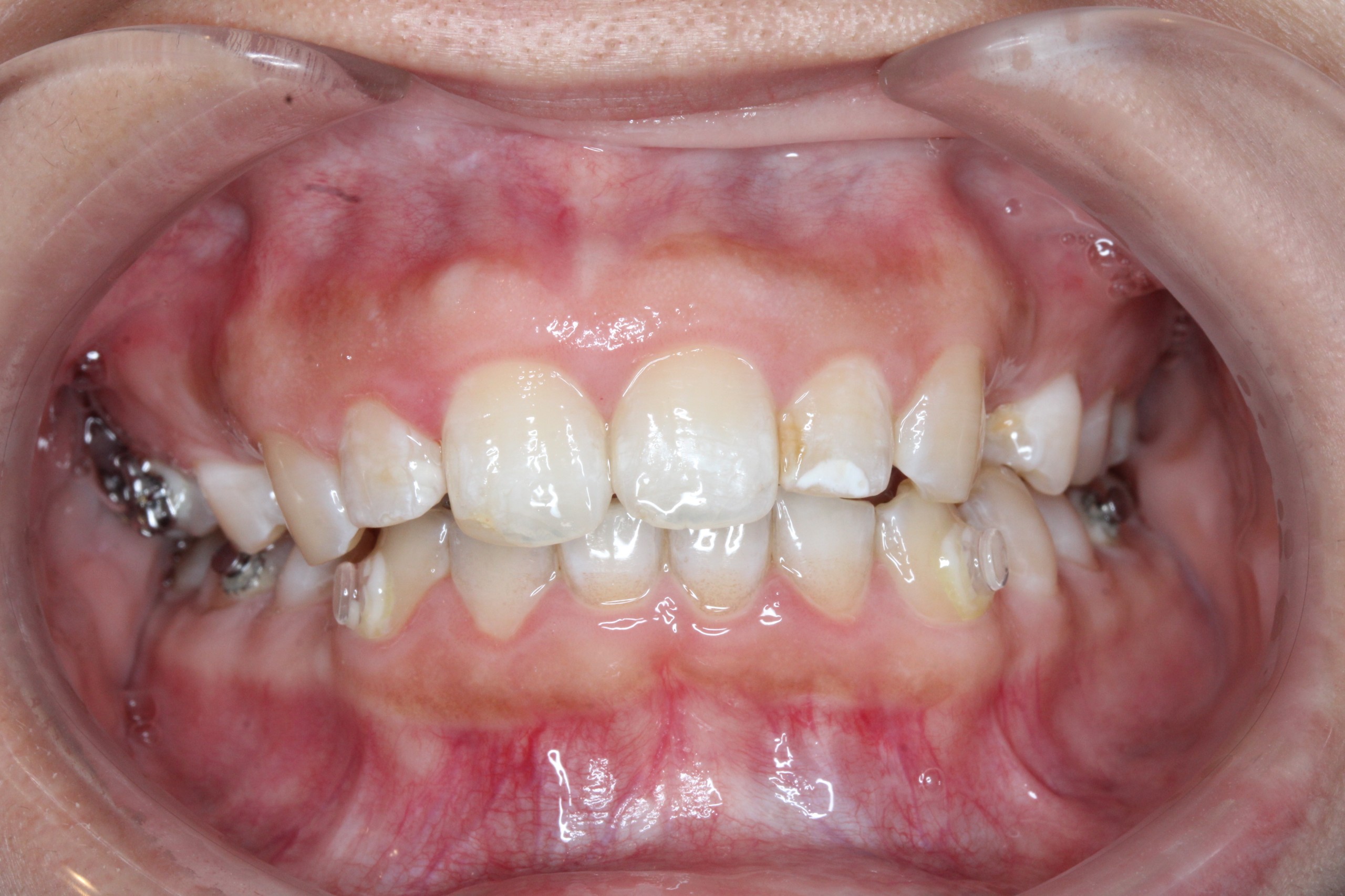
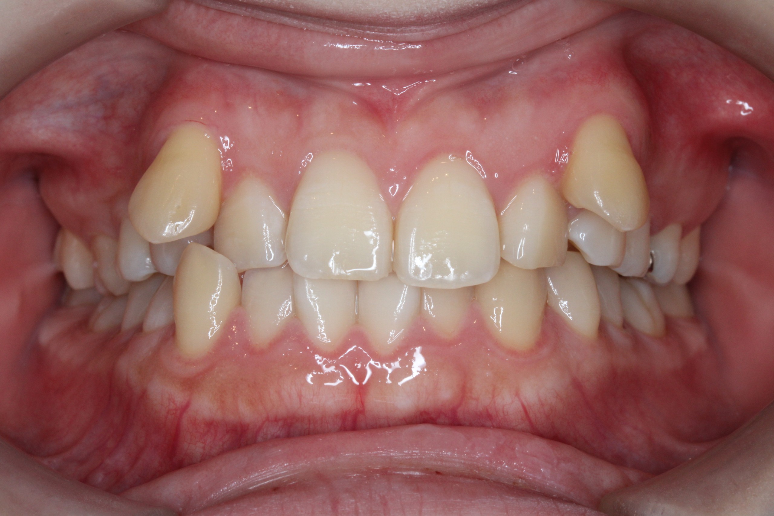
前歯を引っ込めたい(治療期間1年10か月:治療回数30回)

裏側矯正 上顎前突症例

Before

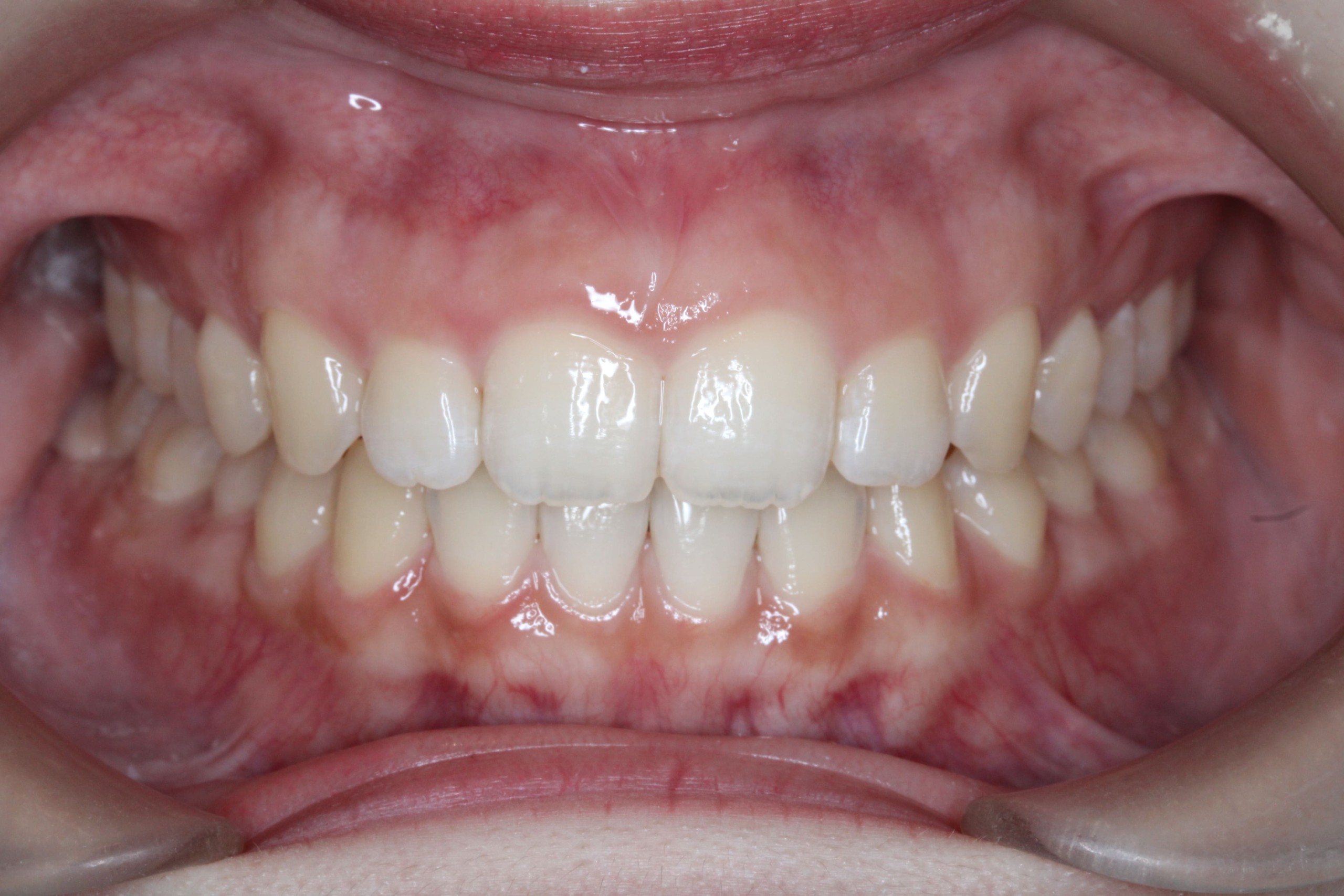
裏側矯正 上顎前突症例

After

年齢層 20代
性別 女性
主訴 ・前歯が出ている・横顔のシルエットを綺麗にしたい
治療費用 ¥1.375.000
治療期間 1年10か月(治療中)
抜歯 上下顎左右第一小臼歯
矯正の装置 裏側矯正(マルチブラケット)
副作用、リスク 歯肉退縮,歯根吸収,疼痛,咬合の違和感,装置の違和感,虫歯,歯肉
詳しく見る

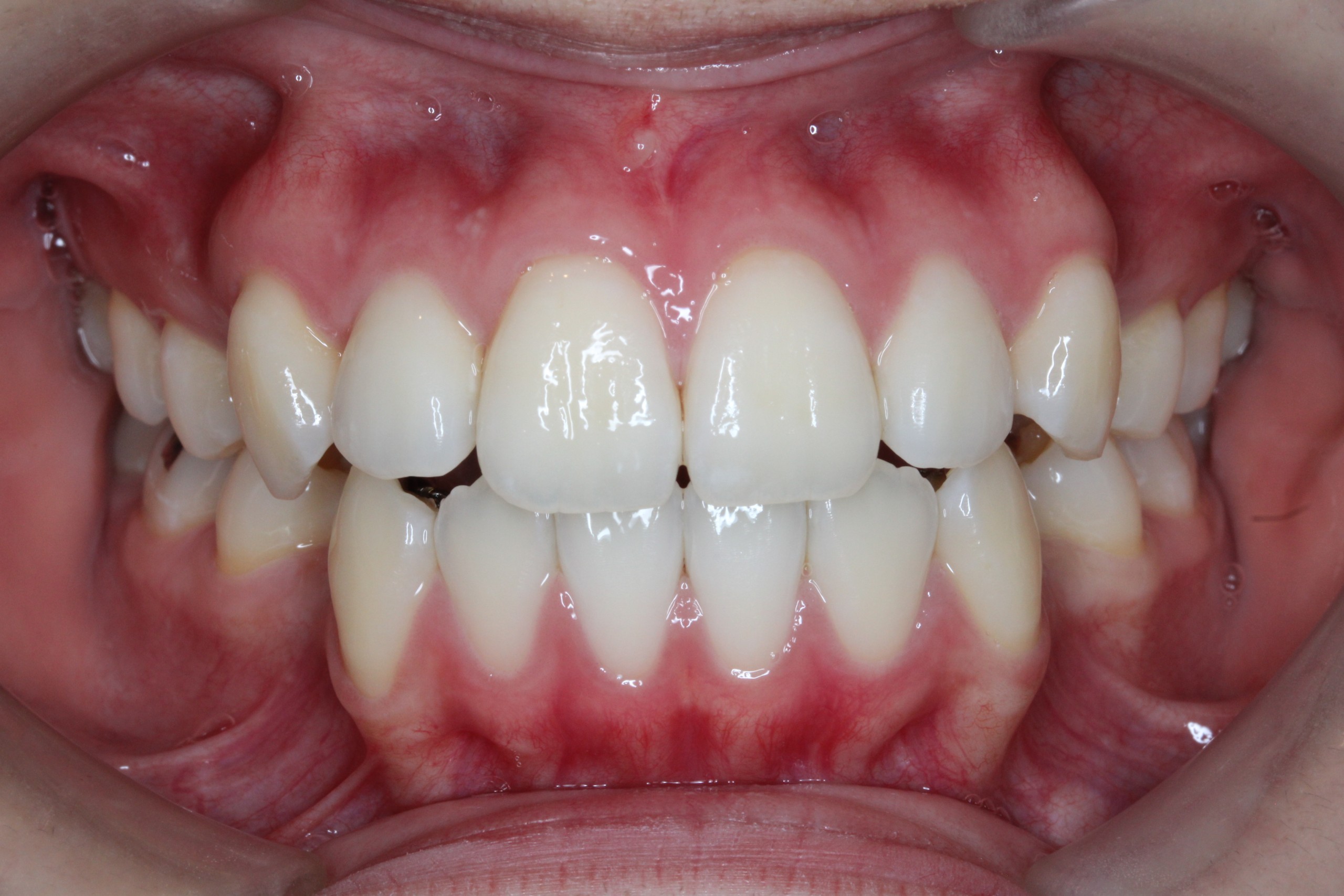
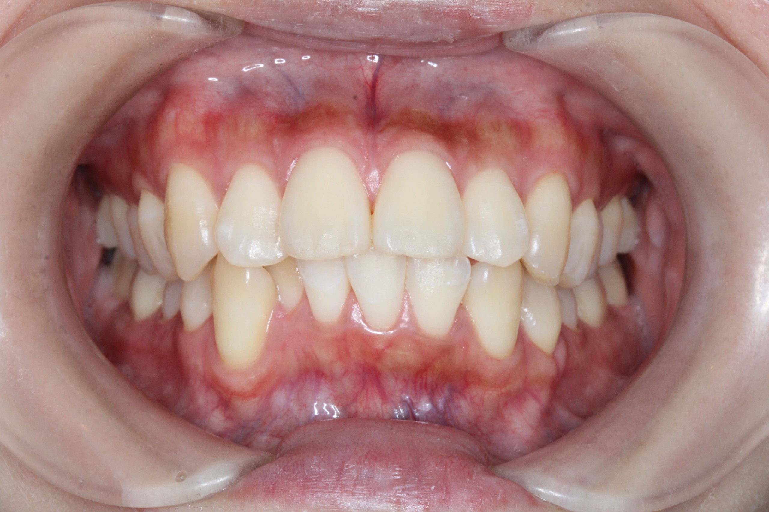
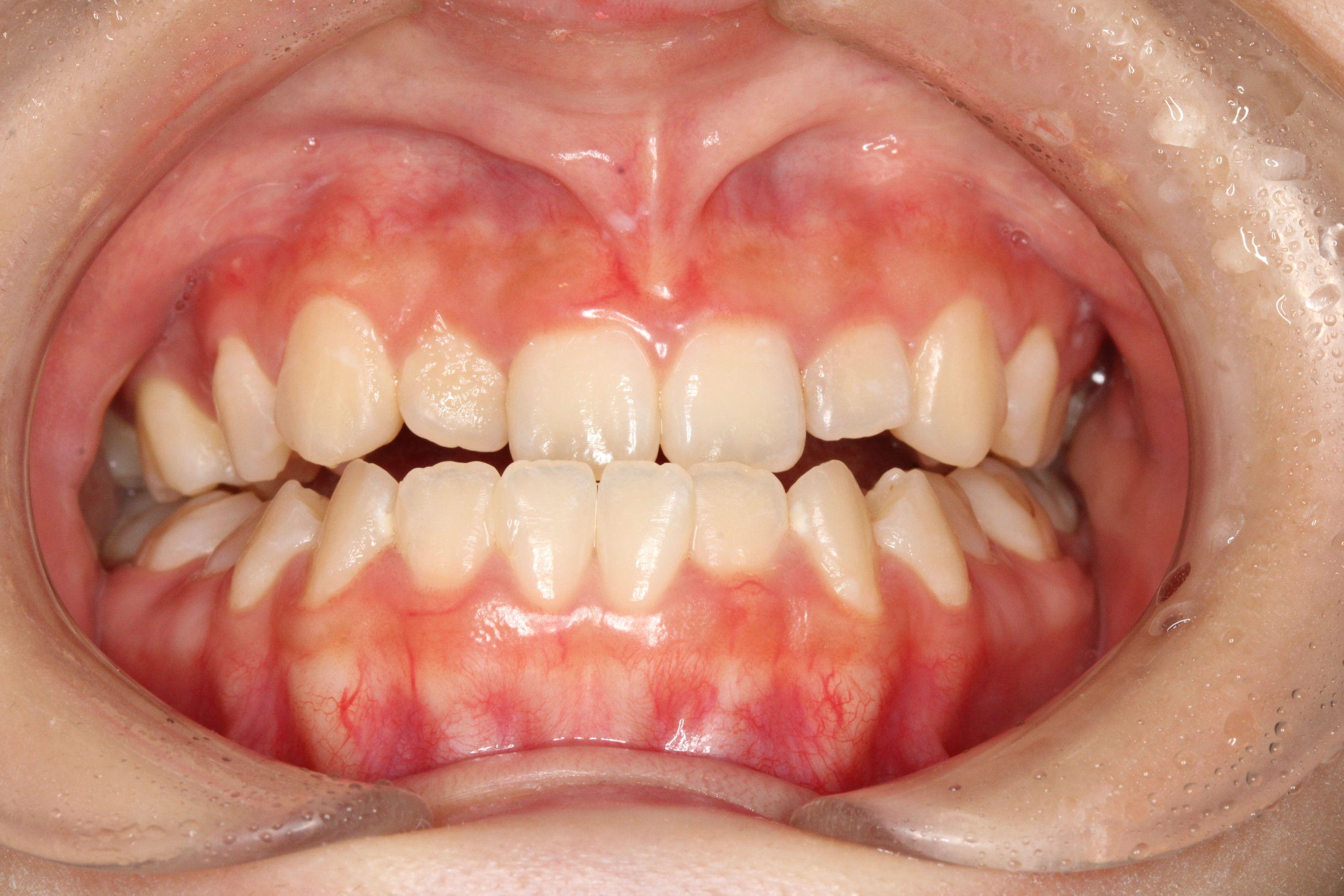
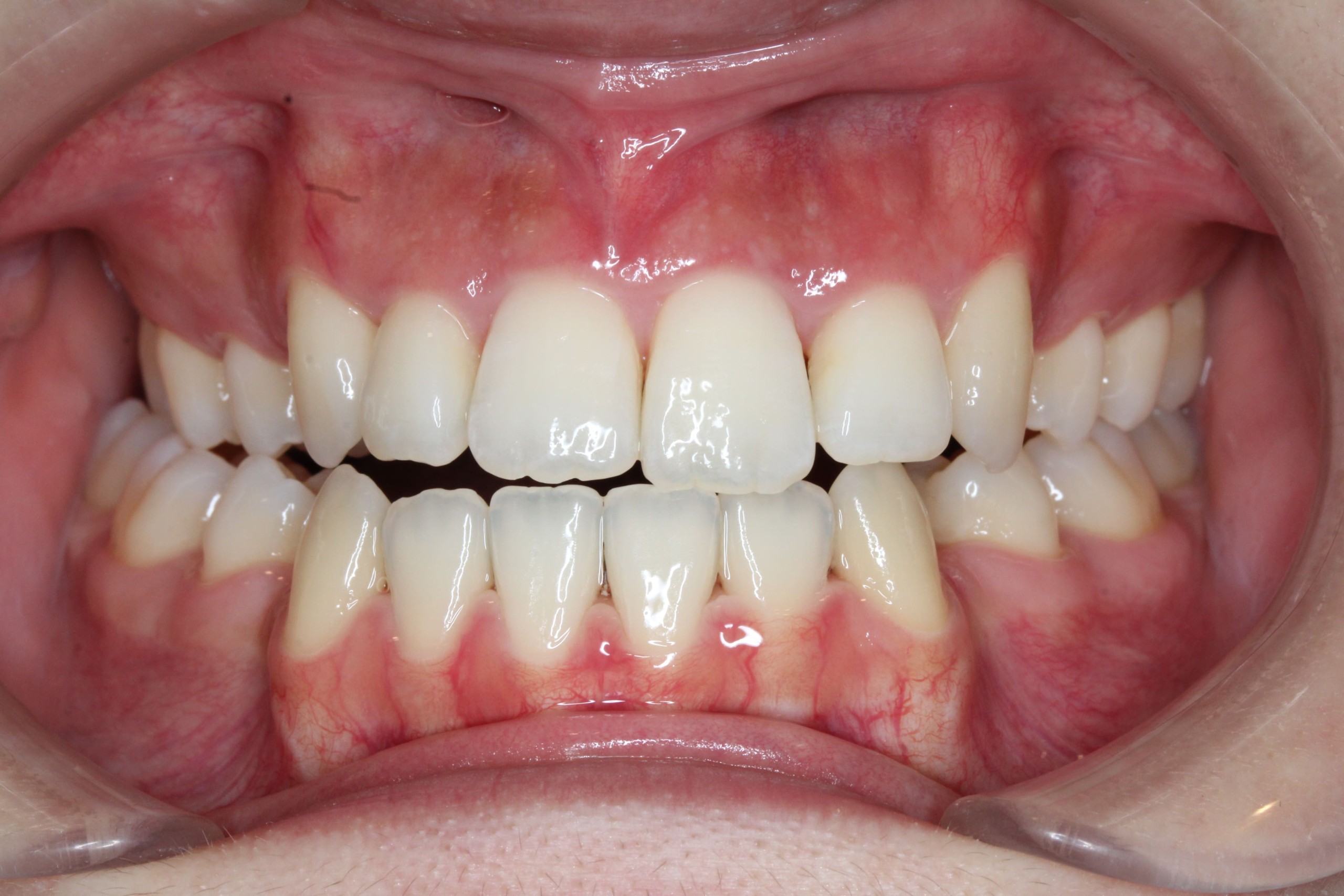
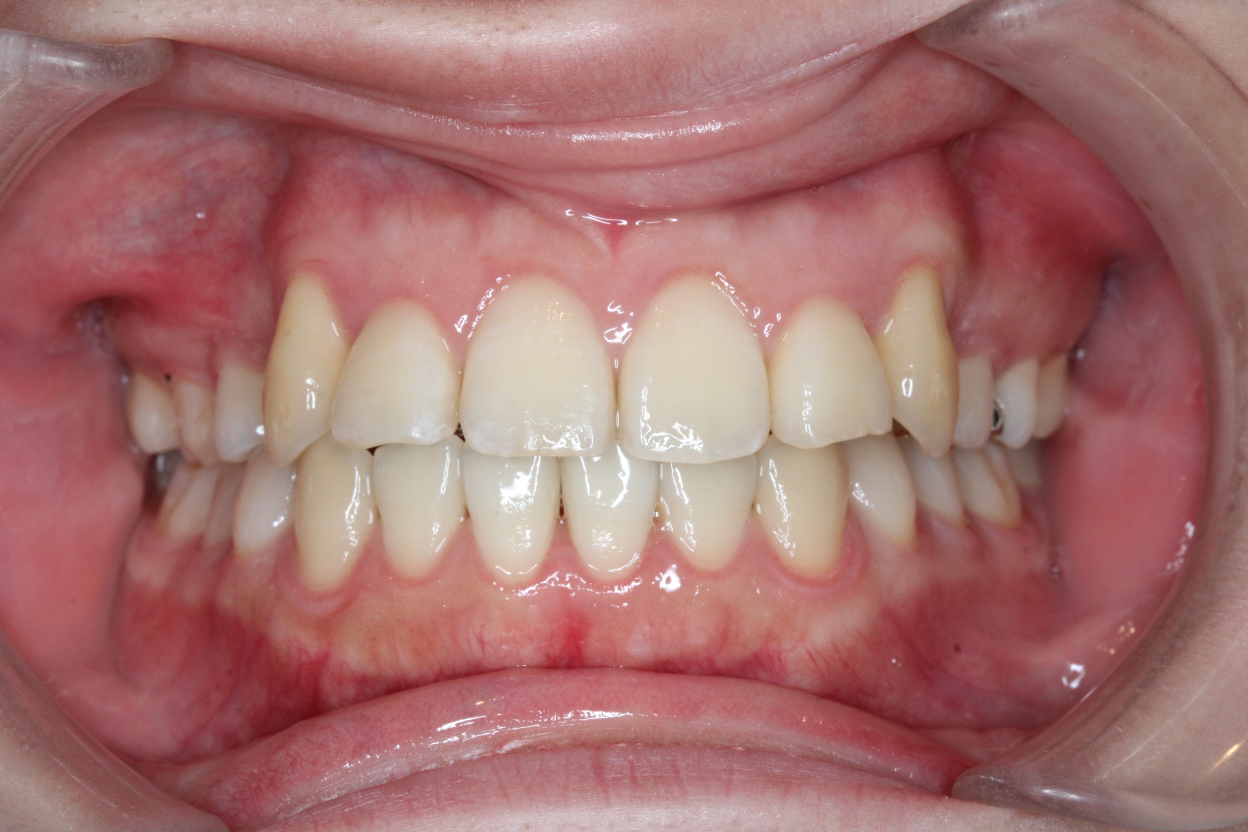
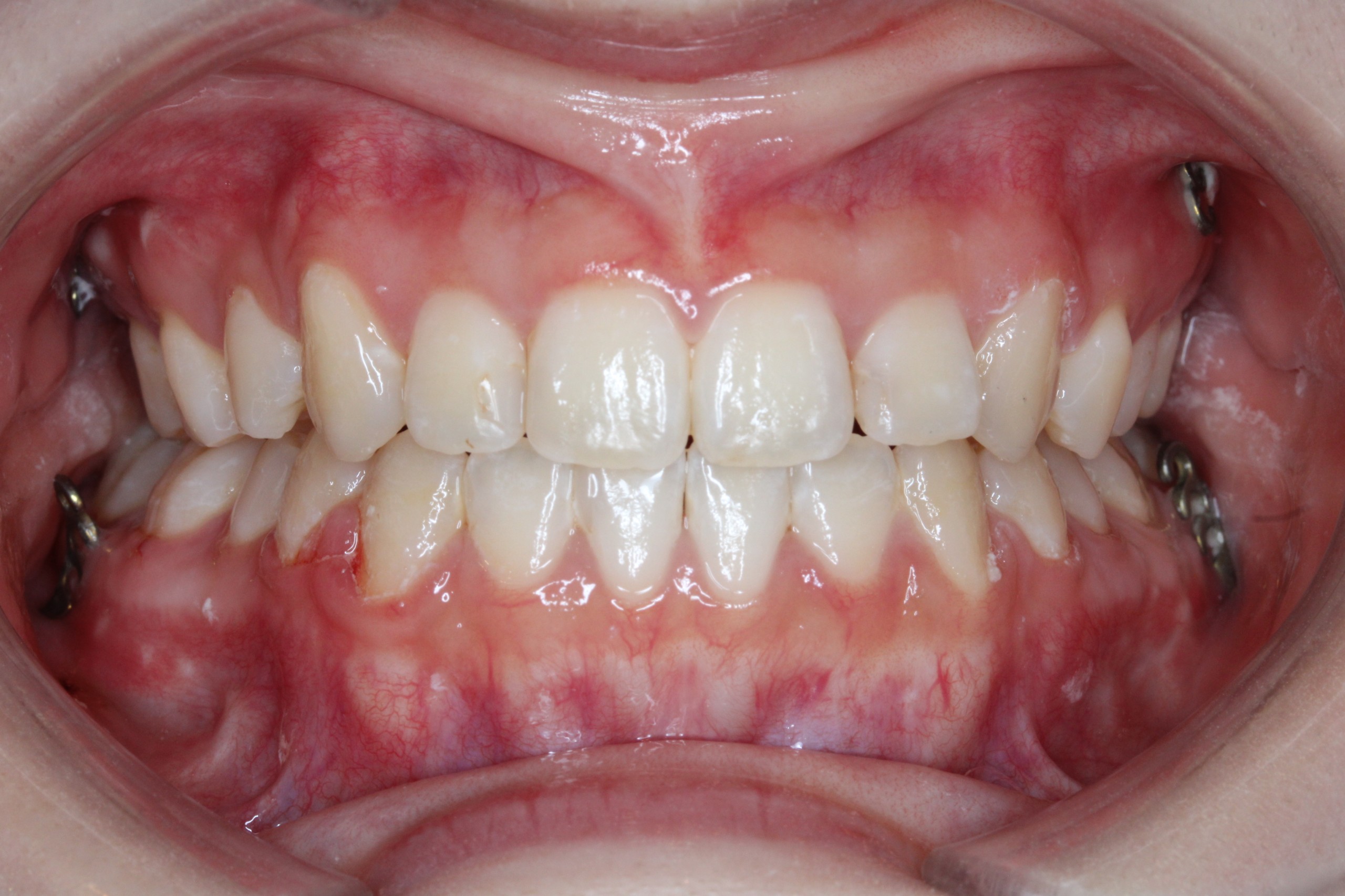
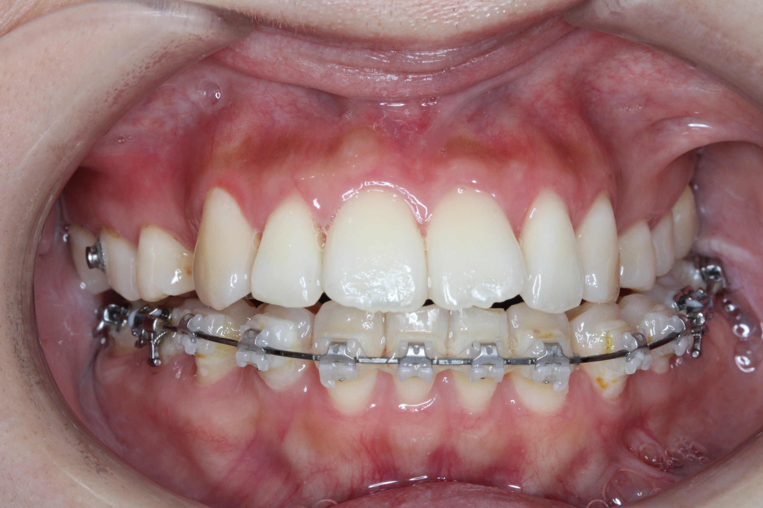
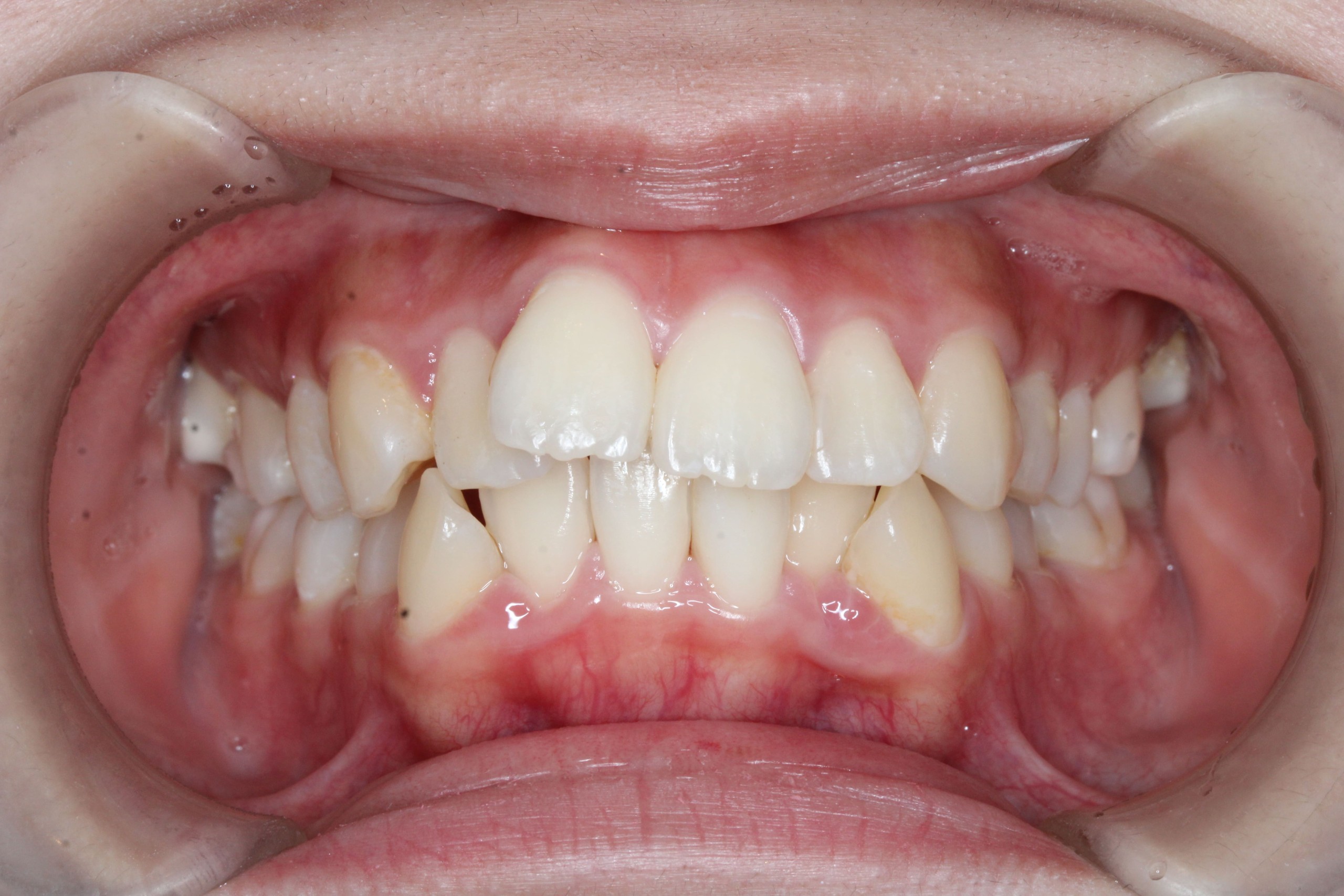
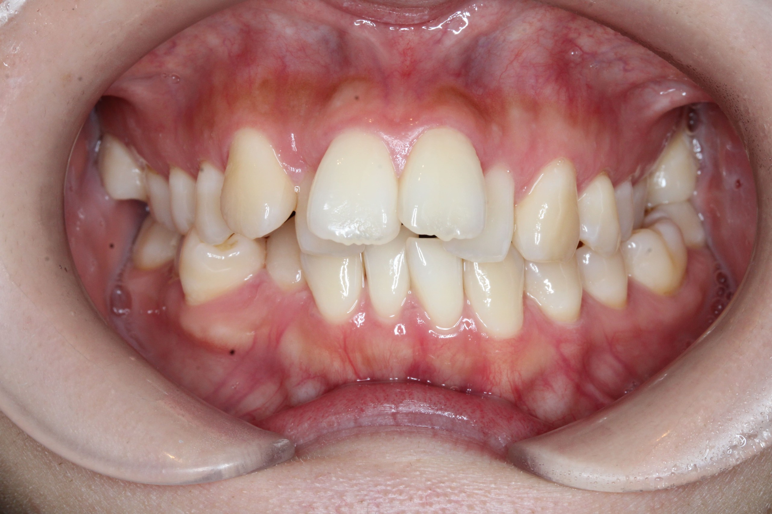
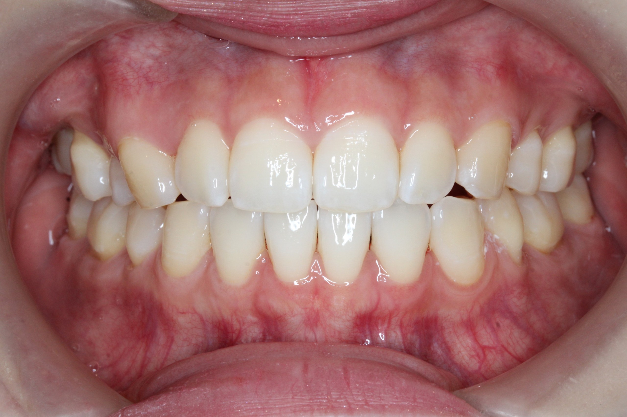
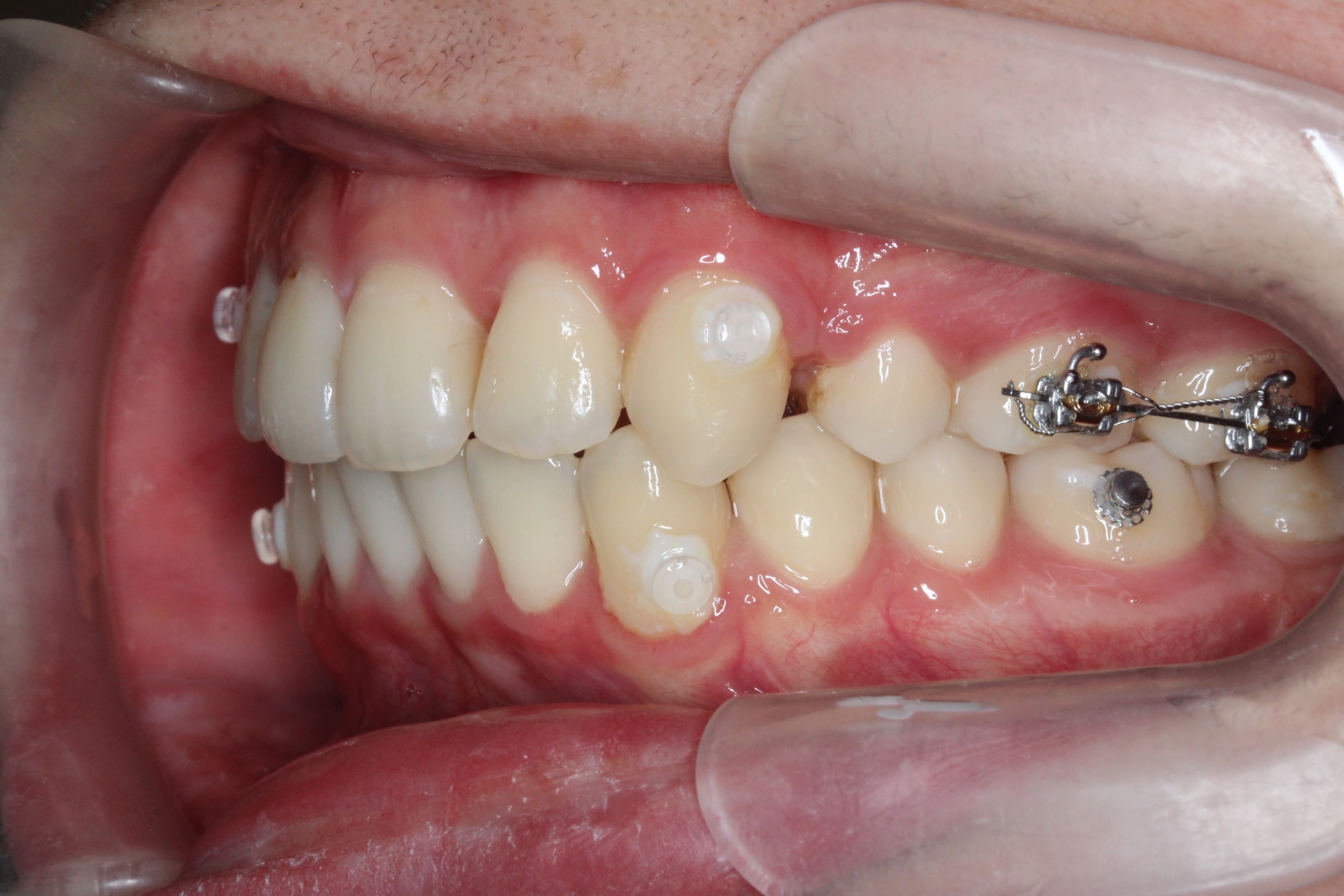
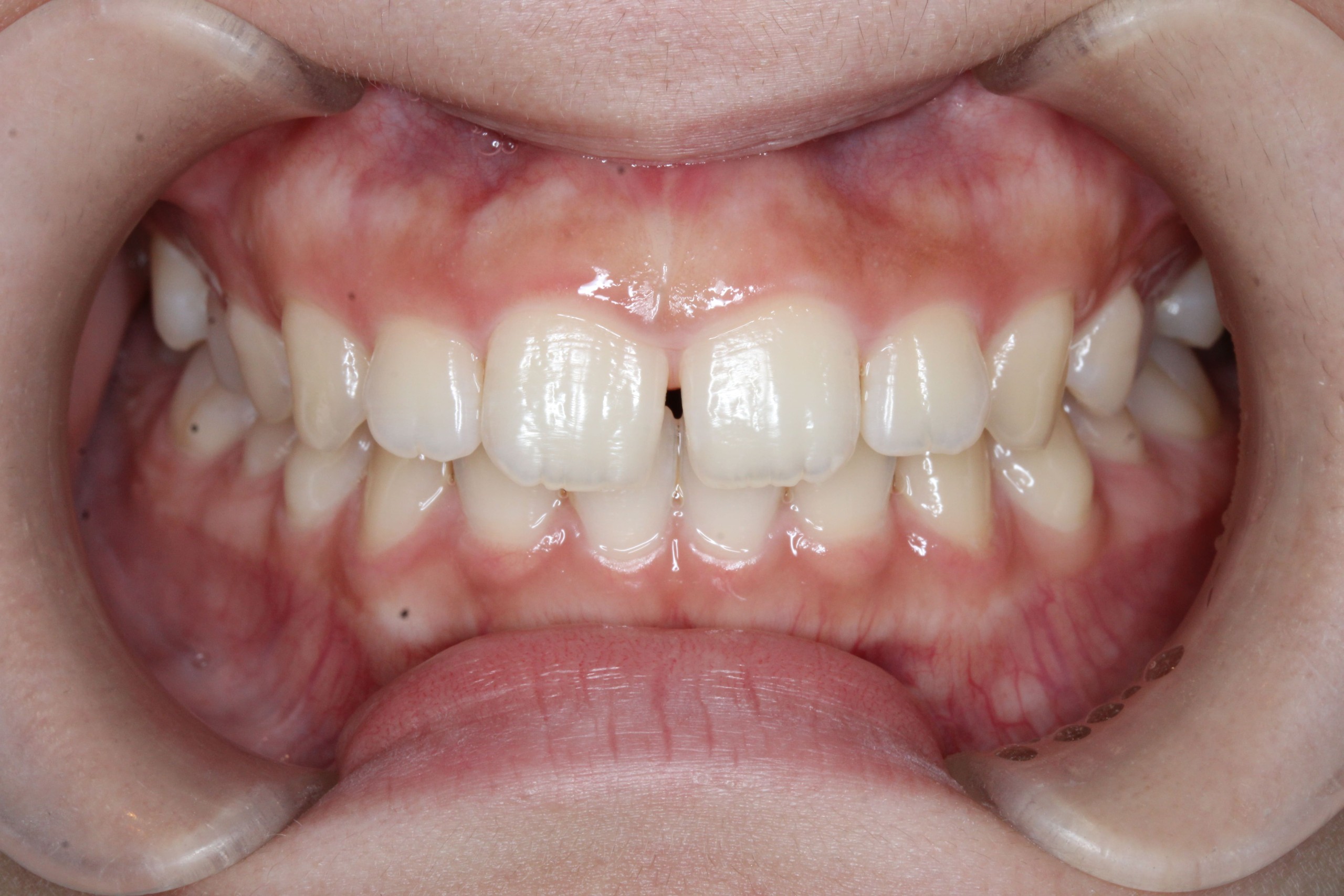
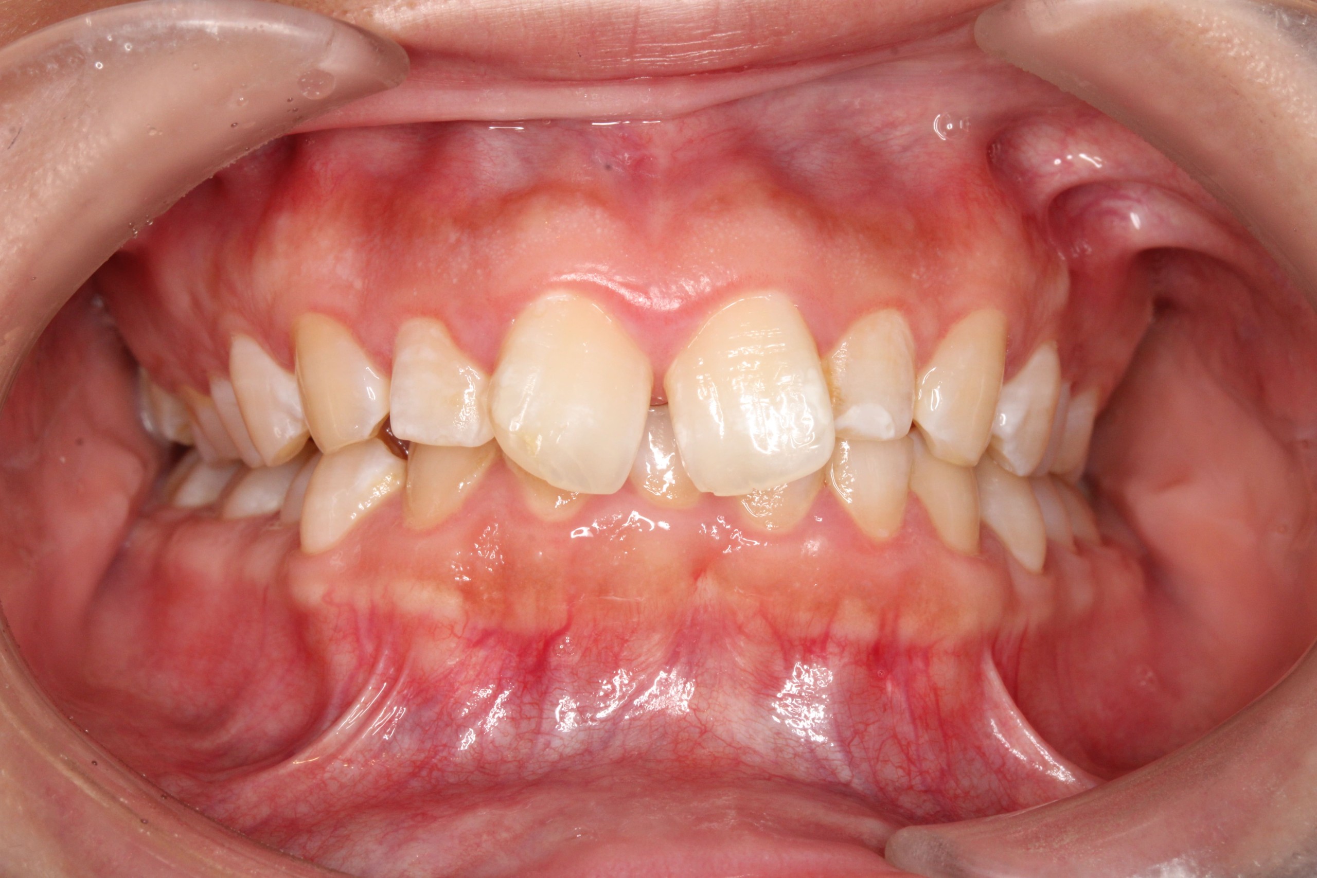
前歯のでっぱりを治したい(治療期間1年/通院回数12回)

叢生・裏側矯正の症例

Before

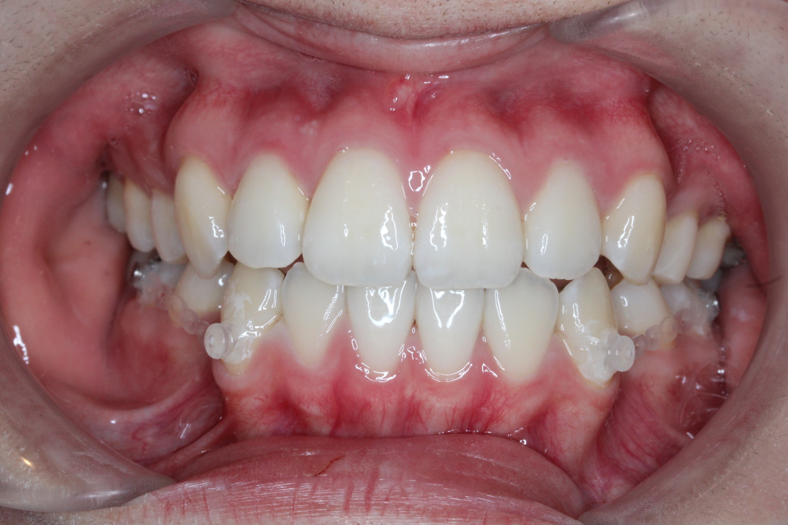
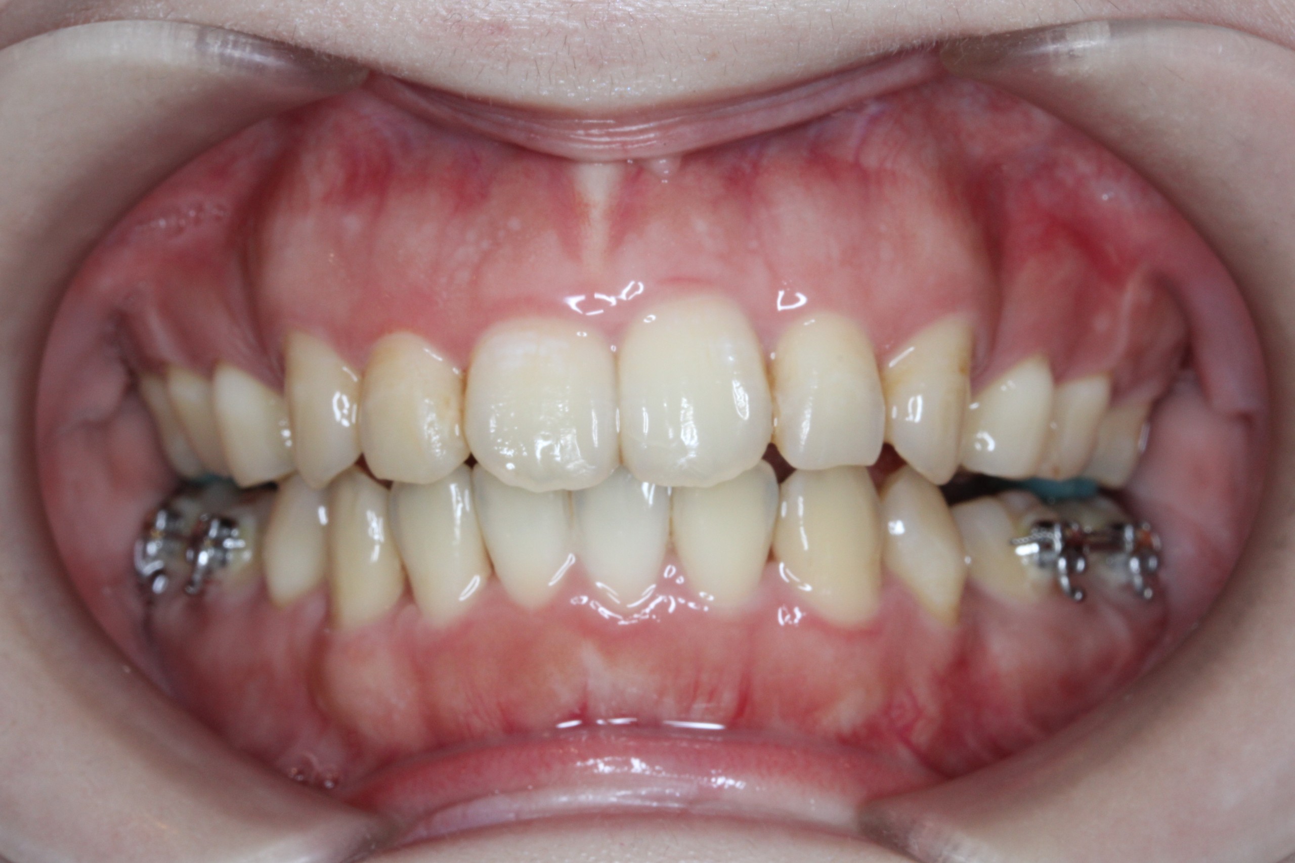
叢生・裏側矯正の症例

After

年齢層 20代
性別 女性
主訴 上の前歯のでっぱりと斜めっている、右上前歯の引っ込み、下の前歯のでこぼこ
治療費用 ¥1,397,000(税込)
治療期間 1年(治療中)
抜歯 有(4┼4)
矯正の装置 裏側矯正(舌側矯正)
副作用、リスク 副作用:歯肉退縮,歯根吸収,疼痛,咬合の違和感,装置の違和感,虫歯,歯肉
詳しく見る

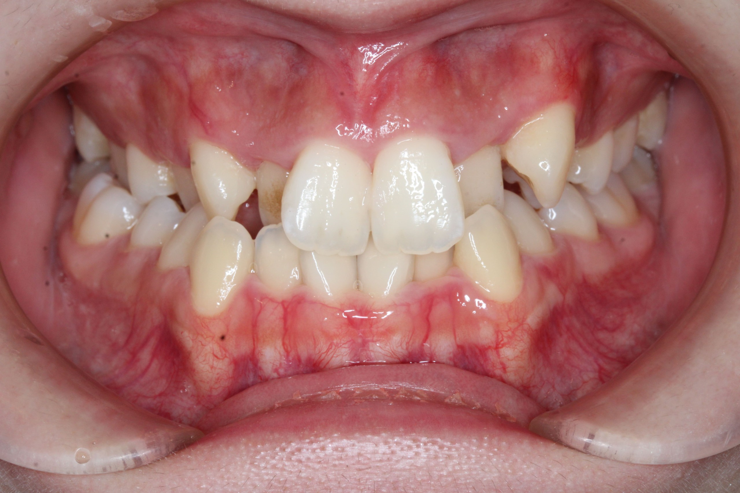
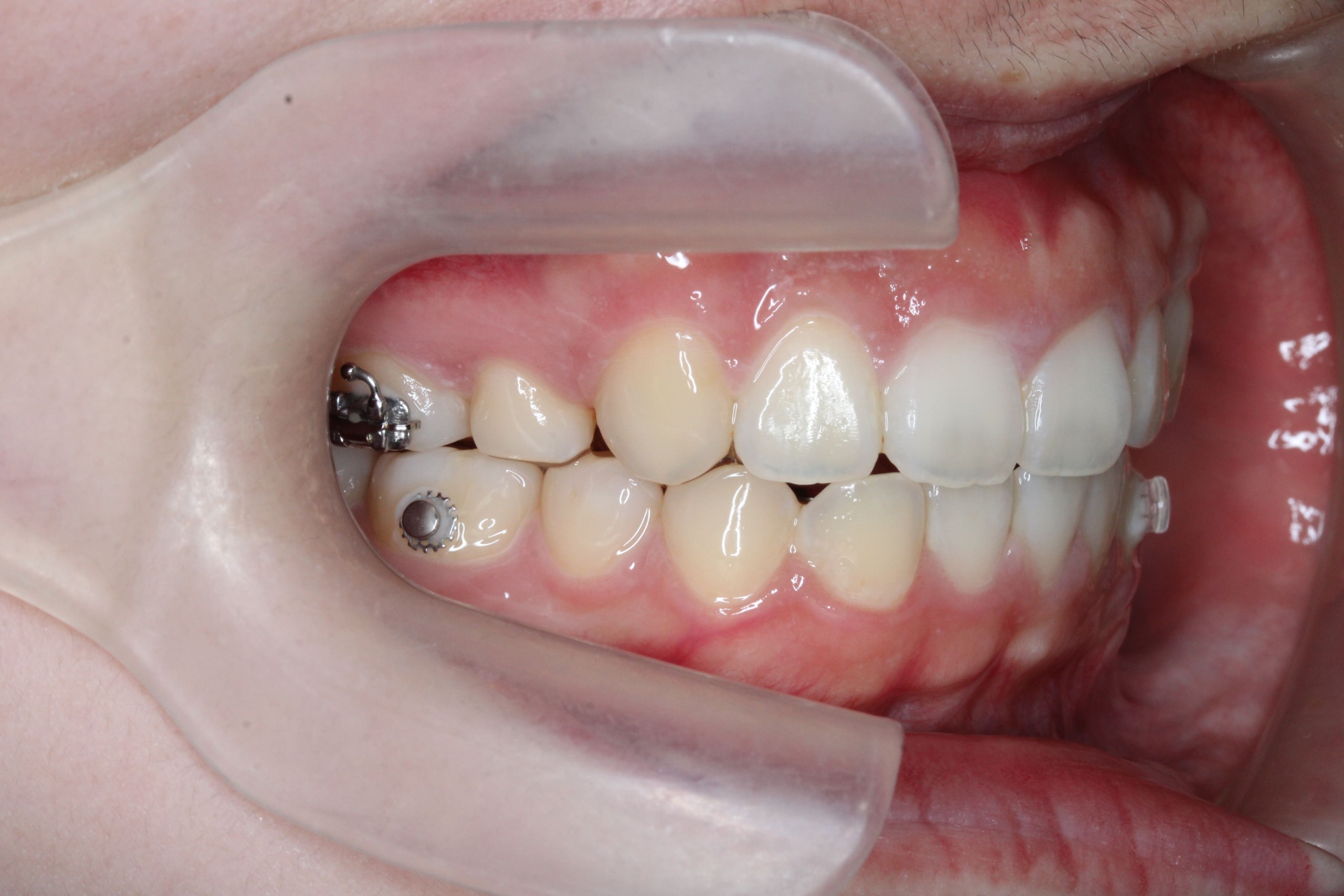
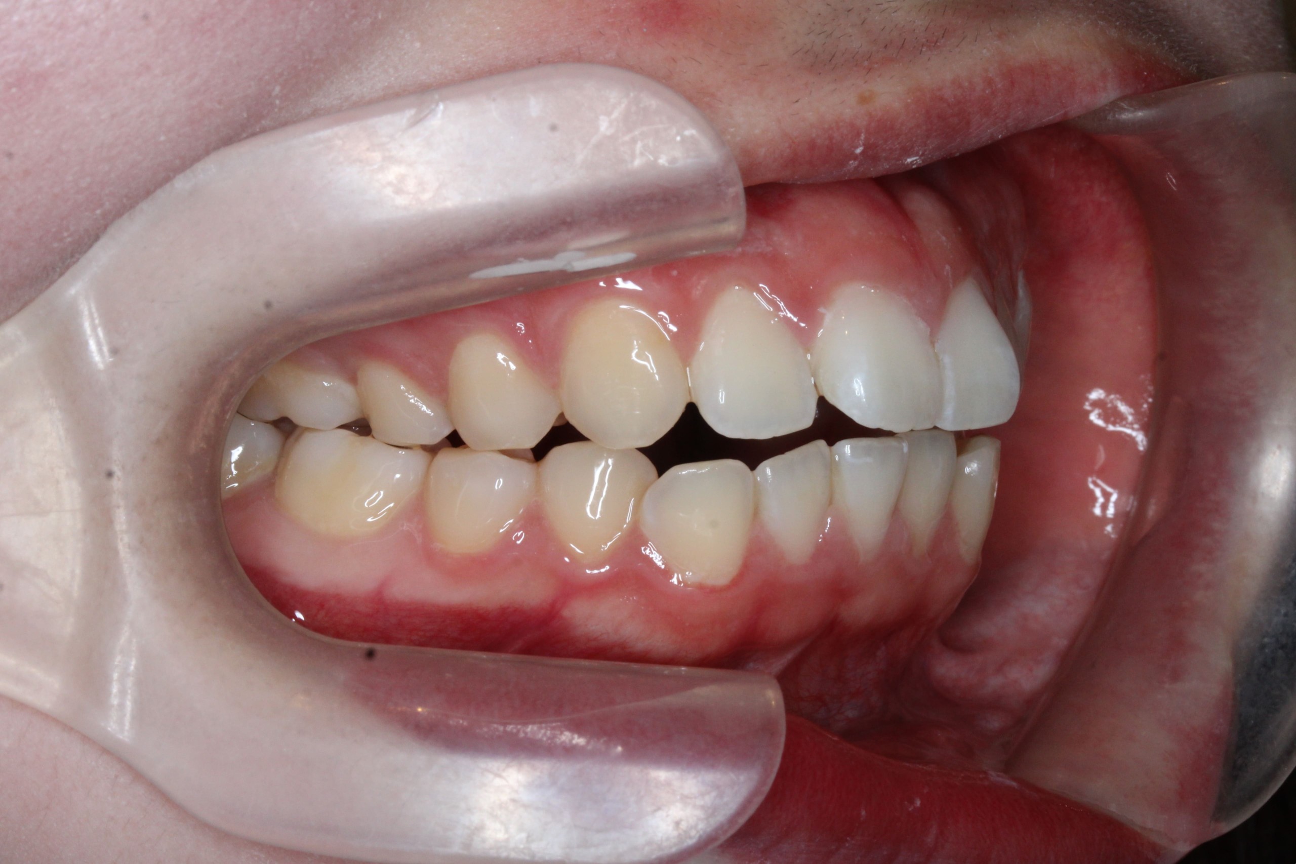
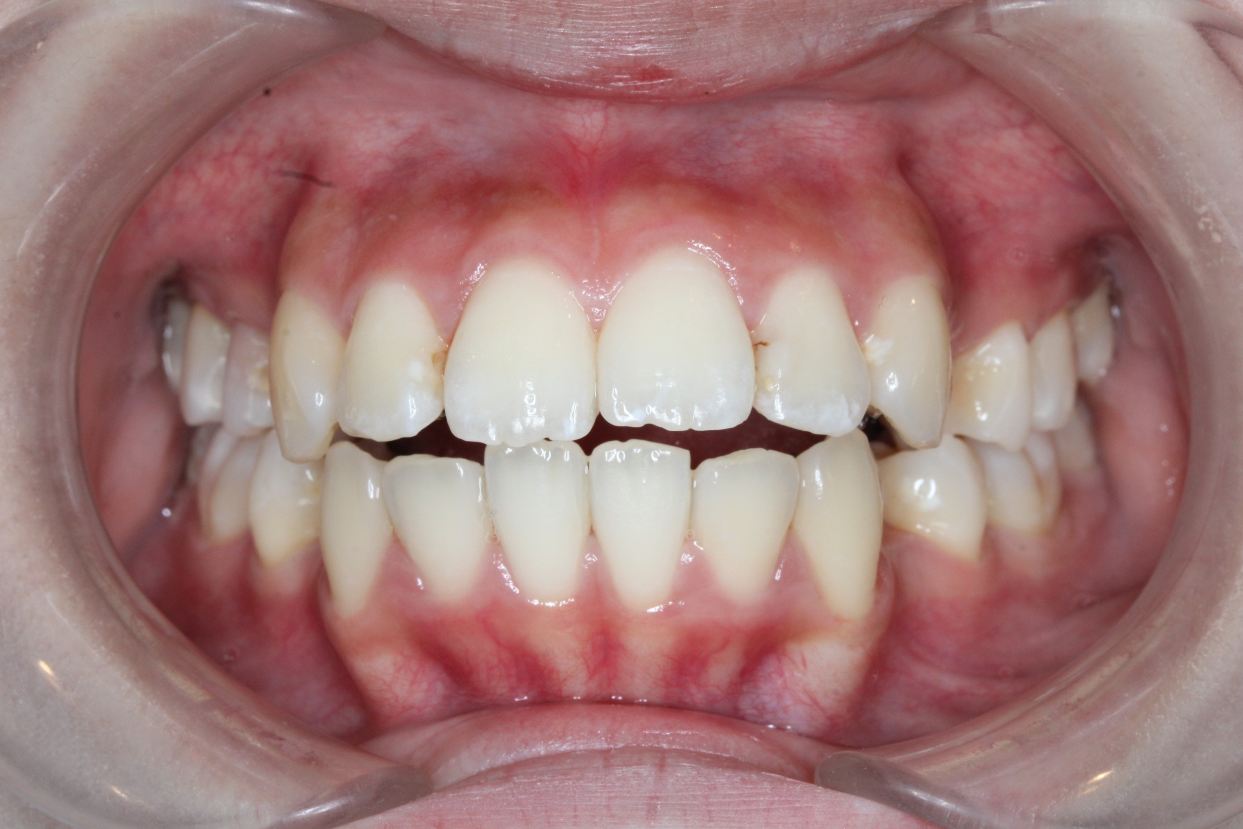
前歯のでこぼこを治したい(治療期間1年2ヶ月/治療回数22回)

ハーフリンガル矯正 叢生症例

Before

ハーフリンガル矯正 叢生症例

After

年齢層 40代
性別 女性
主訴 ・└3でっぱり・└2が引っ込んでいる
治療費用 ¥1,199,000
治療期間 1年2ヶ月(最終微調整をマウスピース矯正で治療中)
抜歯 非抜歯
矯正の装置 ハーフリンガル矯正
副作用、リスク 歯肉退縮,歯根吸収,疼痛,咬合の違和感,装置の違和感,虫歯,歯肉炎
詳しく見る

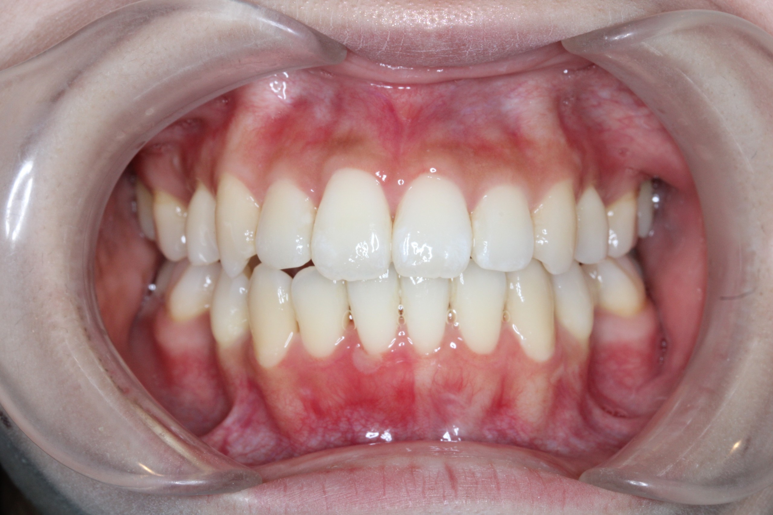
でこぼこを治したい(治療期間9ヶ月 / 通院回数9回)

叢生、ハーフリンガルの症例

Before

叢生・ハーフリンガルの症例

After

年齢層 20代
性別 女性
主訴 全体的なでこぼこ、)正中線のズレ、Eラインを整えたい
治療費用 ¥1,287,000(税込み)
治療期間 9ヶ月(2025年11月時点)
抜歯 有(4┴4、4┬5)
矯正の装置 ハーフリンガル(上:表側、下:裏側)
副作用、リスク 歯肉退縮,歯根吸収,疼痛,咬合の違和感,装置の違和感,虫歯,歯肉
詳しく見る

でこぼこを治したい(治療期間8ヶ月/通院回数7回)

叢生・裏側矯正の症例

Before

叢生・裏側矯正の症例

After

年齢層 20代
性別 女性
主訴 上の前歯が引っ込んでいる、でこぼこな歯並びを治したい
治療費用 ¥1,397,000
治療期間 8ヶ月(25年11月時点)
抜歯 有(4┼4)
矯正の装置 裏側矯正(舌側矯正)
副作用、リスク 歯肉退縮,歯根吸収,疼痛,咬合の違和感,装置の違和感,虫歯,歯肉
詳しく見る

上の前歯のでっぱりを治したい(治療期間約半年/治療回数10回)

裏側矯正 上顎前突 開咬症例

Before

裏側矯正 上顎前突 開咬症例

After

年齢層 20代
性別 女性
主訴 1┴1のでっぱり
治療費用 ¥1,265,000
治療期間 1年(治療中)
抜歯 4┴4 4┐
矯正の装置 裏側矯正(舌側矯正)
副作用、リスク 歯肉退縮,歯根吸収,疼痛,咬合の違和感,装置の違和感,虫歯,歯肉炎
詳しく見る

上の前歯のでっぱりを治したい(治療期間1年11ヶ月/通院回数21回)

過蓋咬合の症例(初診)

Before

裏側矯正・過蓋咬合の症例

After

年齢層 20代
性別 女性
主訴 上の前歯のでっぱりを治したい、上の前歯がハの字になっている
治療費用 ¥1,397,000
治療期間 1年11か月
抜歯 有(4┴4、4┐)
矯正の装置 裏側矯正(舌側矯正)
副作用、リスク 歯肉退縮,歯根吸収,疼痛,咬合の違和感,装置の違和感,虫歯,歯肉炎
詳しく見る

下の歯が前に出ているのを治したい(治療期間1年3か月/通院回数17回)

裏側矯正 叢生・下顎前突症例

Before

裏側矯正 叢生・下顎前突症例

After

年齢層 20代
性別 女性
主訴 ・上下全体的なでこぼこ・上下のかみ合わせ・正中線のズレ・下の歯が前に出ている
治療費用 ¥1,320,000
治療期間 1年3ヶ月(治療中)
抜歯 4┼4
矯正の装置 裏側矯正(舌側矯正)
副作用、リスク 歯肉退縮,歯根吸収,疼痛,咬合の違和感,装置の違和感,虫歯,歯肉炎
詳しく見る

上の歯のでこぼこを治したい(治療期間1年8ヶ月/通院回数18回)

裏側矯正・叢生の症例

Before

裏側矯正・叢生の症例

After

年齢層 20代
性別 女性
主訴 上の歯のでこぼこ・八重歯のでっぱり
治療費用 ¥1,397,000
治療期間 1年8ヶ月
抜歯 有(4┴4)
矯正の装置 裏側矯正(舌側矯正)
副作用、リスク 歯肉退縮,歯根吸収,疼痛,咬合の違和感,装置の違和感,虫歯,歯肉炎
詳しく見る

上の前歯が出ているのを治したい(通院期間1年10か月/治療回数35回)

裏側矯正 上顎前突症例

Before

裏側矯正 上顎前突症例

After

年齢層 20代
性別 男性
主訴 ・上の歯が出ているのを治したい・右上奥と前歯のがたつき・噛み合わせが深い
治療費用 ¥1,320,000
治療期間 1年10か月(治療中)
抜歯 4┴4
矯正の装置 裏側矯正(舌側矯正)
副作用、リスク 歯肉退縮,歯根吸収,疼痛,咬合の違和感,装置の違和感,虫歯,歯肉炎
詳しく見る

前歯のでっぱりを治したい(治療期間:8ヶ月/通院10回)

前歯のでこぼこ・裏側全体矯正の症例

Before

叢生・裏側全体矯正の症例

After

年齢層 20代
性別 女性
主訴 上の前歯のでっぱり、右上前歯の傾き
治療費用 ¥1,397,000
治療期間 8ヶ月
抜歯 有(5┼5)
矯正の装置 裏側矯正(舌側矯正)
副作用、リスク 歯肉退縮,歯根吸収,疼痛,咬合の違和感,装置の違和感,虫歯,歯肉炎
詳しく見る

非対称を治したい(外科症例)

case24_非対称_外科_before

Before

case24_非対称_外科_after

After

年齢層 20代
性別 女性
主訴 【主訴】歯の非対称を治したい 【診断・症状】右下2番先天欠損、上下凸凹、顎が曲がっている
治療費用 検査・診断:税込55,000円/サージェリーファースト(裏側矯正):税込2,090,000円(+外科費用 約200万)(※外科代につきましては別途かかります)
治療期間 約2年半(33回)
抜歯 無(非抜歯)
矯正の装置 裏側矯正(舌側矯正)
副作用、リスク 歯肉退縮,歯根吸収,疼痛,咬合の違和感,装置の違和感,虫歯,歯肉炎
詳しく見る

歯の凸凹を治したい

case23_歯の凹凸_before

Before

247M_A230_case23_歯の凹凸_after

After

年齢層 30代
性別 男性
主訴 【主訴】歯の凸凹を治したい 【診断・症状】上下凸凹
治療費用 検査・診断:38,500-/裏側矯正治療:1,397,000-(※全て税込)
治療期間 約3年半(45回)
抜歯 有(上4,4、左下4)
矯正の装置 裏側矯正(舌側矯正)
副作用、リスク 歯肉退縮,歯根吸収,疼痛,咬合の違和感,装置の違和感,虫歯,歯肉炎
詳しく見る

かみ合わせが深いと受け口の症例

case22_かみ合わせが深い_受け口_before

Before

case22_かみ合わせが深い_受け口_after

After

年齢層 30代
性別 男性
主訴 【主訴】かみ合わせが深い、受け口 【診断・症状】受け口、過蓋咬合、上下凸凹
治療費用 検査・診断:38,500-/裏側矯正治療:1,397,000-/難症例加算:220,000-(※全て税込)
治療期間 約3年半(45回)
抜歯 無(非抜歯)
矯正の装置 裏側矯正(舌側矯正)
副作用、リスク 歯肉退縮,歯根吸収,疼痛,咬合の違和感,装置の違和感,虫歯,歯肉炎
詳しく見る

出っ歯を治したい

case21_出っ歯_before

Before

case21_出っ歯_after

After

年齢層 30代
性別 女性
主訴 【主訴】出っ歯を治したい 【診断・症状】上下凸凹、口元が出てる
治療費用 検査・診断:38,500-/裏側矯正治療:1,397,000-(※全て税込)
治療期間 約2年9か月(36回)
抜歯 有(上4,4)
矯正の装置 裏側矯正(舌側矯正)
副作用、リスク 歯肉退縮,歯根吸収,疼痛,咬合の違和感,装置の違和感,虫歯,歯肉炎
詳しく見る

出っ歯を治したい

case20_出っ歯_before

Before

case20_出っ歯_after

After

年齢層 30代
性別 女性
主訴 【主訴】出っ歯を治したい 【診断・症状】上下凸凹、出っ歯(上顎前突)
治療費用 検査・診断:38,500-/裏側矯正治療:1,397,000-(※全て税込)
治療期間 約2年半(33回)
抜歯 有(上4,4、下5,5)
矯正の装置 裏側矯正(舌側矯正)
副作用、リスク 歯肉退縮,歯根吸収,疼痛,咬合の違和感,装置の違和感,虫歯,歯肉炎
詳しく見る

受け口(非外科)の症例

case19_受け口_非外科_before

Before

case19_受け口_非外科_after

After

年齢層 20代
性別 女性
主訴 【主訴】受け口を治したい 【診断・症状】反対咬合、上下凸凹
治療費用 検査・診断:38,500-/裏側矯正治療:1,397,000-(※全て税込)
治療期間 約1年半(約20回)
抜歯 有(下4,4)
矯正の装置 裏側矯正(舌側矯正)
副作用、リスク 歯肉退縮,歯根吸収,疼痛,咬合の違和感,装置の違和感,虫歯,歯肉炎
詳しく見る

受け口の外科症例

case18_受け口外科_before

Before

case18_受け口外科_after

After

年齢層 30代
性別 女性
主訴 【主訴】受け口を治したい 【診断・症状】上下凸凹、受け口
治療費用 検査・診断:税込55,000円/サージェリーファースト(裏側矯正):税込2,090,000円(+外科費用 約200万)(※外科代につきましては別途かかります)
治療期間 約2年(約26回)
抜歯 無(非抜歯)
矯正の装置 裏側矯正(舌側矯正)
副作用、リスク 歯肉退縮,歯根吸収,疼痛,咬合の違和感,装置の違和感,虫歯,歯肉炎
詳しく見る

受け口を治したい

case17_受け口_before

Before

case17_受け口_after

After

年齢層 20代
性別 女性
主訴 【主訴】受け口を治したい 【診断・症状】反対咬合、上下凸凹
治療費用 検査・診断:38,500-/ハーフリンガル矯正治療:1,287,000-(※全て税込)
治療期間 約1年半(20回)
抜歯 無(非抜歯)
矯正の装置 ハーフリンガル矯正
副作用、リスク 歯肉退縮,歯根吸収,疼痛,咬合の違和感,装置の違和感,虫歯,歯肉炎
詳しく見る

軽度の受け口の症例(インプラント併用の症例)

case16_インプラント併用_before

Before

case16_インプラント併用_after

After

年齢層 30代
性別 女性
主訴 【主訴】軽度の受け口を治したい 【診断・症状】軽度の反対咬合、左上6番重度の虫歯
治療費用 検査・診断:38,500-/裏側矯正治療:1,397,000-(※全て税込)
治療期間 約3年(39回)
抜歯 有(左上6番のみ)
矯正の装置 裏側矯正(舌側矯正)
副作用、リスク 歯肉退縮,歯根吸収,疼痛,咬合の違和感,装置の違和感,虫歯,歯肉炎
詳しく見る