当院の症例
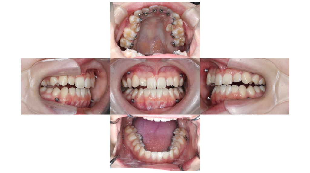
初診時の口腔内写真です

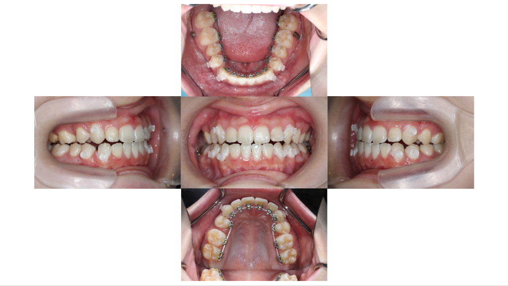
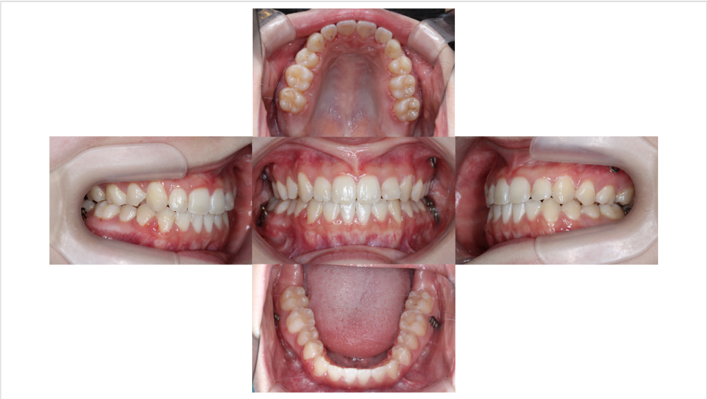
約6ヶ月が経過し、上下顎ともきれいに並んできました
ゴムかけをして下顎を後ろに下げてかみ合わせを作っていきます
ゴムかけから約4ヶ月経過し、受け口が改善されてきました
微調整をマウスピースで行うために装置を全て外しました
| 年齢層 | 20代 |
|---|---|
| 性別 | 女性 |
| 主訴 | 受け口を治したい、上下の隙間を治したい |
| 治療費用 | ¥2,090,000(外科費用含まない) |
| 治療期間 | 1年11ヶ月(治療中) |
| 抜歯 | 有(5┴5) |
| 矯正の装置 | サージェリーファースト+裏側矯正(リンガル) |
| 副作用、リスク | 歯肉退縮,歯根吸収,疼痛,咬合の違和感,装置の違和感,虫歯,歯肉 |