menu
close

当院の症例

前歯のでっぱりを治したい(治療期間:8ヶ月/通院10回)

前歯のでこぼこ・裏側全体矯正の症例

Before

叢生・裏側全体矯正の症例

After

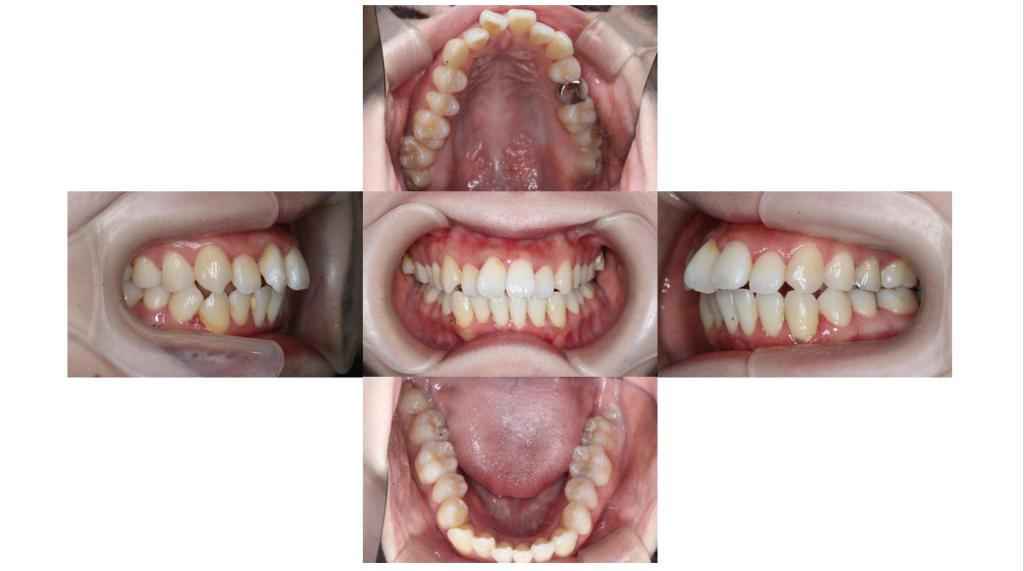
初診

叢生・裏側全体矯正の症例初診時(治療開始前)の口腔内です。

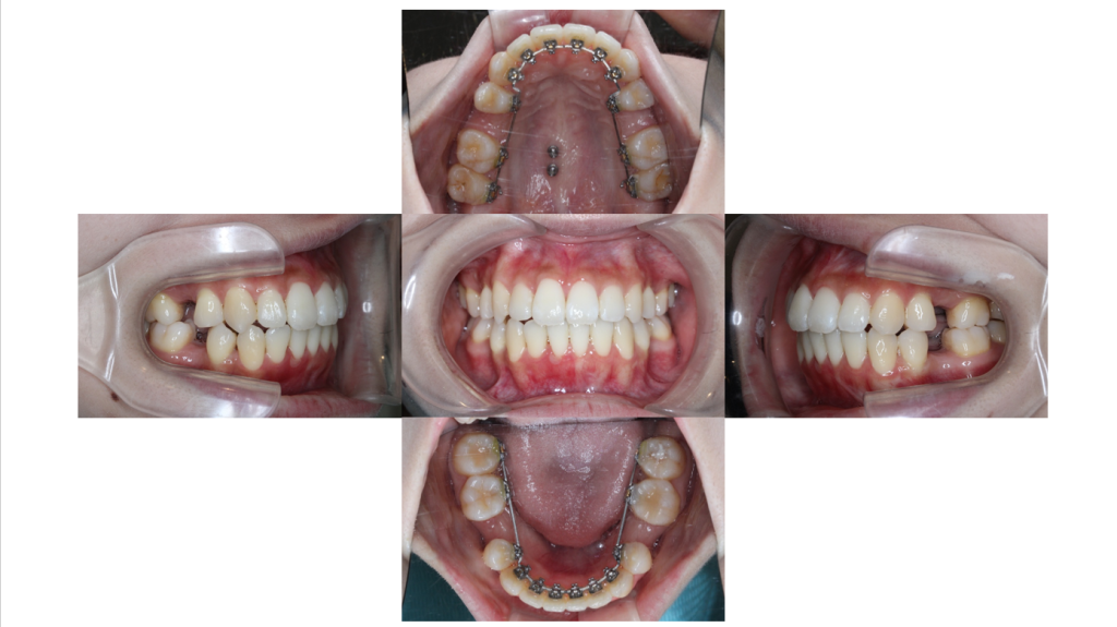
装置装着後

叢生・裏側全体矯正の症例歯に装置を装着しました。
裏側矯正(舌側矯正)で治療をしていきます。

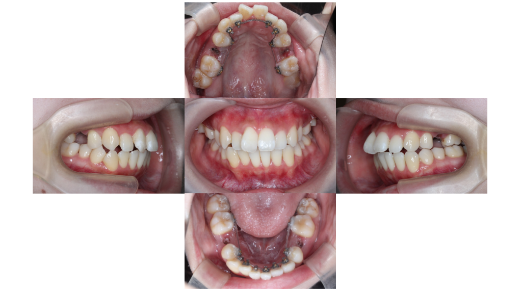
約9ヶ月経過

叢生・裏側全体矯正の症例矯正治療を開始して約9ヶ月が経過しました。
でこぼこも解消され、徐々に歯並びが整ってきました。

年齢層 20代
性別 女性
主訴 上の前歯のでっぱり、右上前歯の傾き
治療費用 ¥1,397,000
治療期間 8ヶ月
抜歯 有(5┼5)
矯正の装置 裏側矯正(舌側矯正)
副作用、リスク 歯肉退縮,歯根吸収,疼痛,咬合の違和感,装置の違和感,虫歯,歯肉炎