menu
close

当院の症例

上の前歯のでっぱりを治したい(治療期間1年11ヶ月/通院回数21回)

過蓋咬合の症例(初診)

Before

裏側矯正・過蓋咬合の症例

After

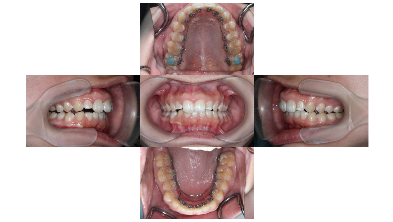
初診

裏側矯正・過蓋咬合の症例 初診治療開始前の口腔内写真です。

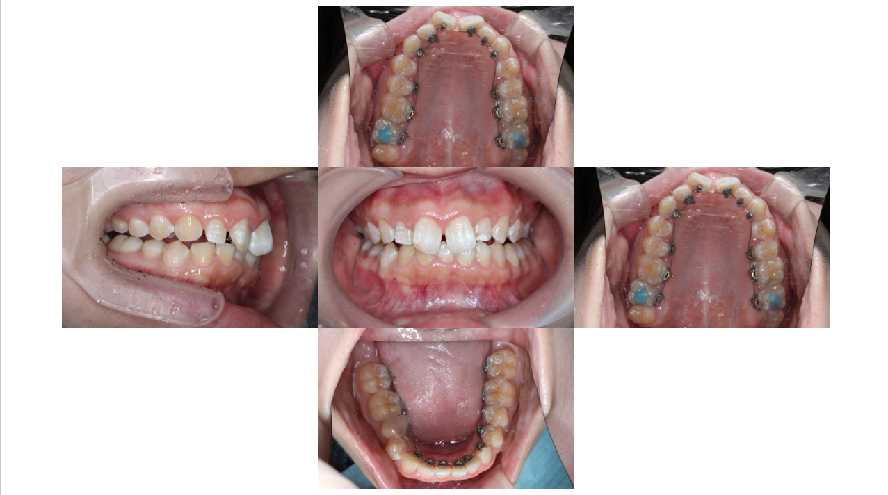
装置装着

裏側矯正・過蓋咬合の症例 装置装着上下顎装置装着時です。

5ヶ月経過

裏側矯正・過蓋咬合の症例 5ヶ月ハの字になっていた前歯も整い、隙間も閉じてきました。

12ヶ月経過

裏側矯正・過蓋咬合の症例 12ヶ月経過上顎第一小臼歯、下顎右側第一小臼歯を抜歯してスペースクローズを開始します。

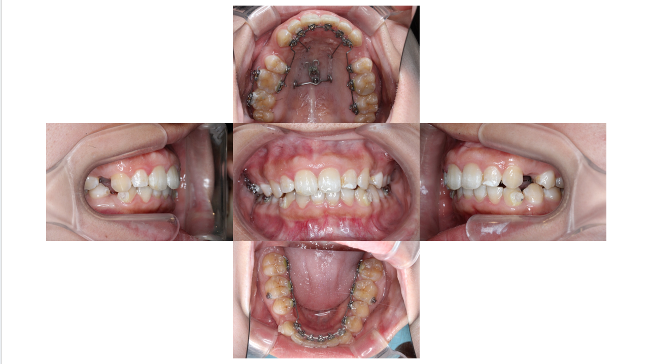
18ヶ月経過

裏側矯正・過蓋咬合の症例 18ヶ月少しずつ抜歯したスペースが閉じてきました。

年齢層 20代
性別 女性
主訴 上の前歯のでっぱりを治したい、上の前歯がハの字になっている
治療費用 ¥1,397,000
治療期間 1年11か月
抜歯 有(4┴4、4┐)
矯正の装置 裏側矯正(舌側矯正)
副作用、リスク 歯肉退縮,歯根吸収,疼痛,咬合の違和感,装置の違和感,虫歯,歯肉炎