menu
close

当院の症例

でこぼこを治したい(治療期間:6ヶ月/治療回数:14回)

叢生・裏側矯正の症例

Before

叢生・裏側矯正の症例

After

初診

叢生・裏側矯正の症例矯正治療開始前の口腔内写真です。

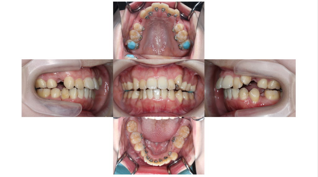
装置装着

叢生・裏側矯正の症例上下装置装着後の口腔内写真です。

2ヶ月経過

叢生・裏側矯正の症例2ヶ月経過し、内側に入り込んでいた歯も並んできました。

3ヶ月経過

叢生・裏側矯正の症例小さな仮の装置がついていた左上犬歯も動いてきました。

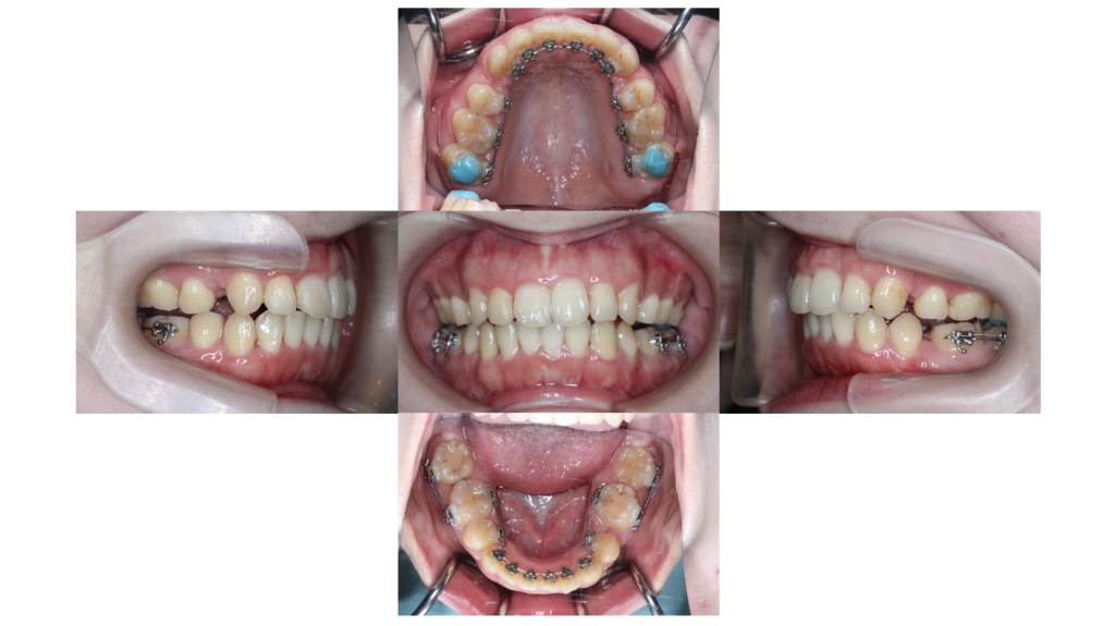
6ヶ月経過

叢生・裏側矯正の症例治療開始から約6ヶ月が経過し徐々に歯列がアーチに近づいてきました。

年齢層 20代
性別 女性
主訴 上の前歯のでこぼこ、前歯の後ろに歯が生えている
治療費用 ¥1,397,000(税込)
治療期間 約6ヶ月(治療中)
抜歯 有(4┴4、4┬5)
矯正の装置 裏側矯正(舌側矯正)
副作用、リスク 歯肉退縮,歯根吸収,疼痛,咬合の違和感,装置の違和感,虫歯,歯肉炎