当院の症例

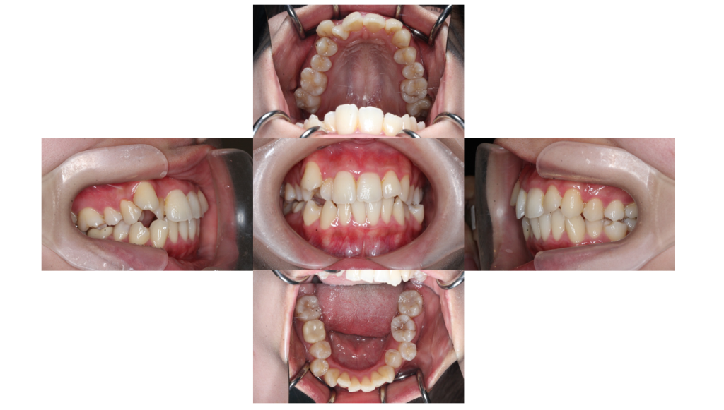
装置装着前の口腔内です。

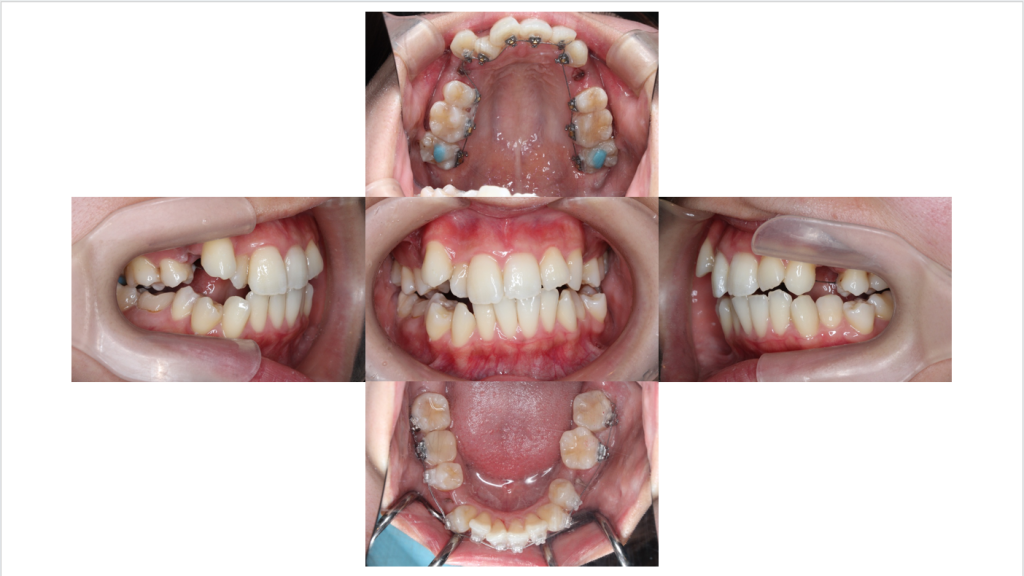
上下に装置を装着した口腔内です。

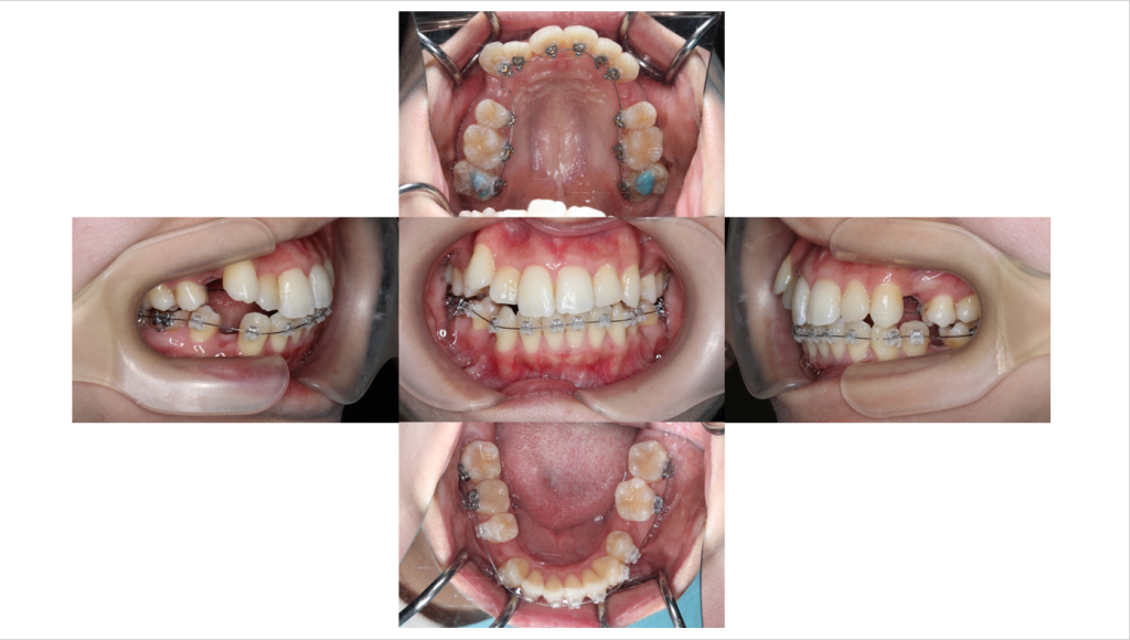
2ヶ月経過し、仮の装置が付いていた上の前歯にも装置の付け替えができました。
下顎はおおよそ並んできました。

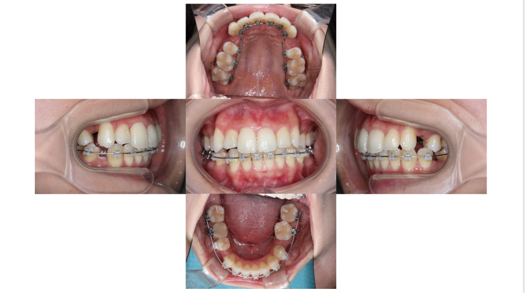
装置装着から約7ヶ月経過し、上下とも並んできました。
| 年齢層 | 20代 |
|---|---|
| 性別 | 女性 |
| 主訴 | 全体的なでこぼこ、)正中線のズレ、Eラインを整えたい |
| 治療費用 | ¥1,287,000(税込み) |
| 治療期間 | 9ヶ月(2025年11月時点) |
| 抜歯 | 有(4┴4、4┬5) |
| 矯正の装置 | ハーフリンガル(上:表側、下:裏側) |
| 副作用、リスク | 歯肉退縮,歯根吸収,疼痛,咬合の違和感,装置の違和感,虫歯,歯肉 |