料金
症例
menu
close
アクセス
当院について
札幌キュア矯正歯科のご案内
院内紹介
院内デジタル矯正設備
グループ内転院制度
治療内容
治療について
治療の流れ
カウンセリング
裏側矯正
ハーフリンガル矯正
表側矯正
マウスピース型矯正
部分矯正
コンビネーション矯正
歯科矯正用アンカースクリューを用いた矯正
外科矯正(サージェリーファースト)
結婚式に向けた矯正
ガミースマイルの改善
矯正基礎知識
矯正法・費用・期間・医院選び
一般的なリスクや副作用について
料金表
キャンペーン
料金一覧
お得な定額費用制度
デンタルローン
医療費控除
症例紹介
矯正ガイド
当院の総院長・院長
よくある質問
矯正のご相談・未成年・学生の方へ
カウンセリングの流れ
instagram
TIKTOK
YouTube
ブログ
矯正コラム
当院の症例
TOP
当院の症例
前歯のでこぼこを治したい(治療期間1年2ヶ月/治療回数22回)
八重歯(ガチャ歯)を治したい
前歯のでこぼこを治したい(治療期間1年2ヶ月/治療回数22回)
Before
After
初診
装置装着
約3ヶ月経過
約半年経過
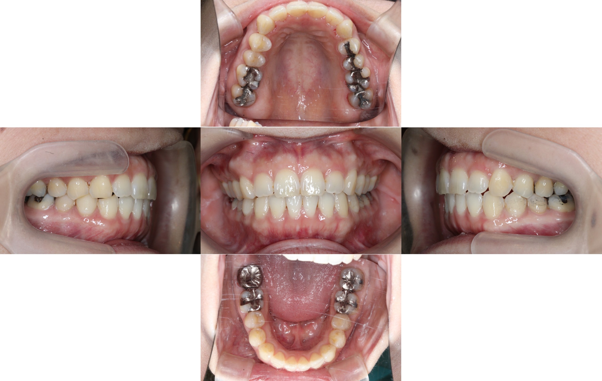
約1年2ヶ月経過
年齢層
40代
性別
女性
主訴
・└3でっぱり・└2が引っ込んでいる
治療費用
¥1,199,000
治療期間
1年2ヶ月(最終微調整をマウスピース矯正で治療中)
抜歯
非抜歯
矯正の装置
ハーフリンガル矯正
副作用、リスク
歯肉退縮,歯根吸収,疼痛,咬合の違和感,装置の違和感,虫歯,歯肉炎
WEB予約
治療ガイド