当院の症例
装置装着前、初診の口腔内です。
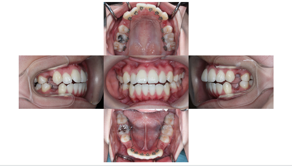
上下装置装着直後の口腔内です。
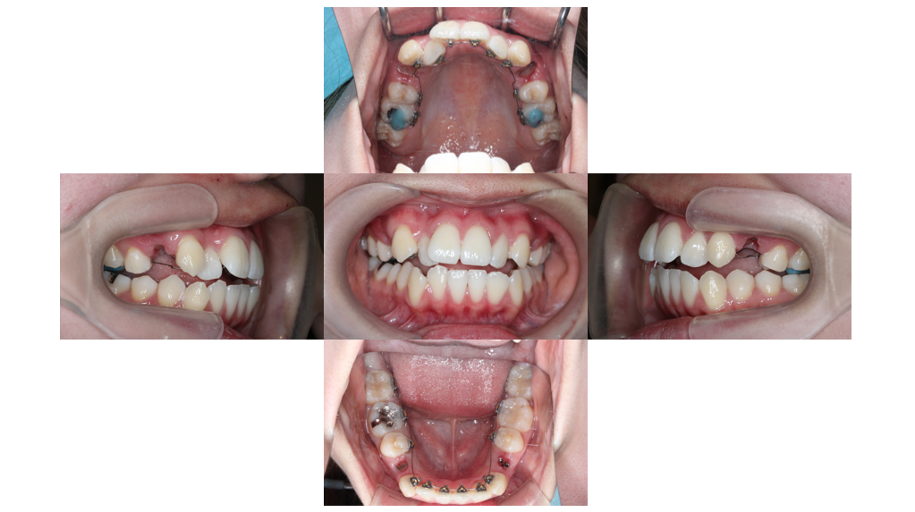
装置装着から2ヶ月で全ての歯に装置が付きました。

| 年齢層 | 20代 |
|---|---|
| 性別 | 女性 |
| 主訴 | 上の前歯が引っ込んでいる、でこぼこな歯並びを治したい |
| 治療費用 | ¥1,397,000 |
| 治療期間 | 8ヶ月(25年11月時点) |
| 抜歯 | 有(4┼4) |
| 矯正の装置 | 裏側矯正(舌側矯正) |
| 副作用、リスク | 歯肉退縮,歯根吸収,疼痛,咬合の違和感,装置の違和感,虫歯,歯肉 |