menu
close

当院の症例

上の歯が引っ込んでいる(治療期間:1年/通院回数:11回)

叢生・裏側矯正の症例

Before

叢生・裏側矯正の症例

After

初診

叢生・裏側矯正の症例装置装着前の口腔内です。

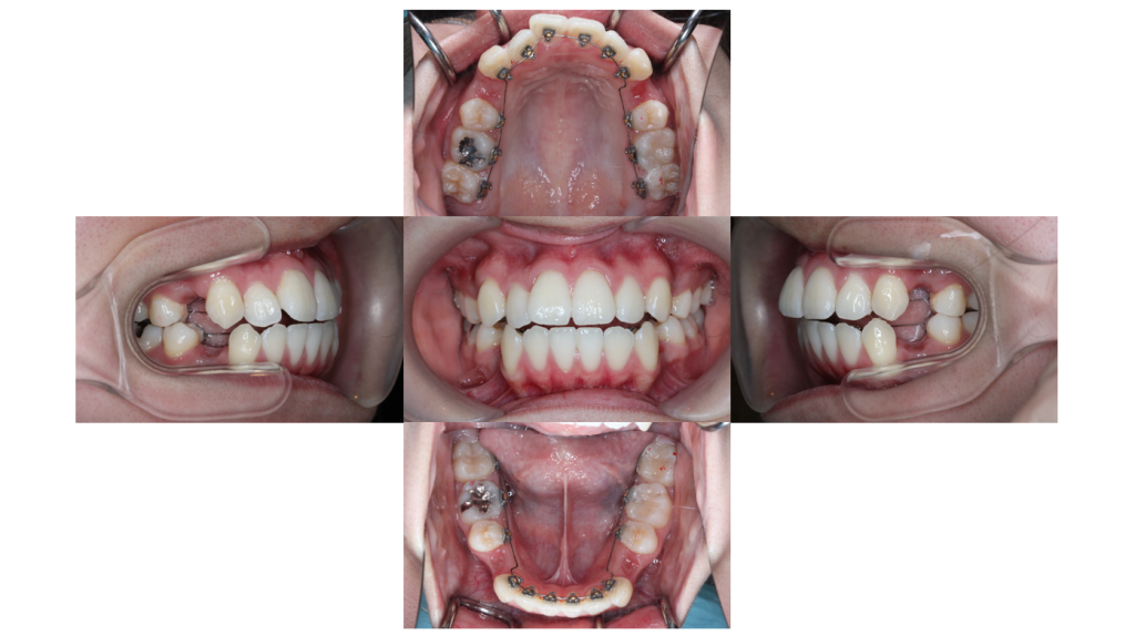
上下装置装着

叢生・裏側矯正の症例上下装置装着後の口腔内です。

約2ヵ月経過

叢生・裏側矯正の症例内側に入り込んでいた右上の前歯が出てきました。

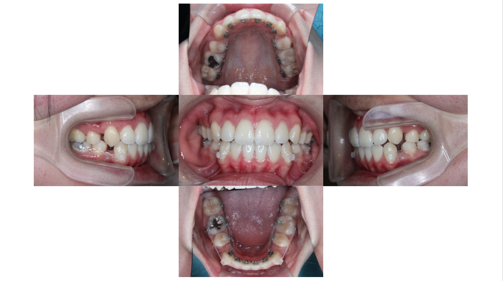
約8ヶ月経過

叢生・裏側矯正の症例上下ともでこぼこが改善され、下顎から抜歯したスペースを閉じていきます。

年齢層 20代
性別 女性
主訴 上の歯が引っ込んでいる
治療費用 ¥1,397,000(税込み)
治療期間 1年(治療途中)
抜歯 有(4┼4)
矯正の装置 裏側矯正(舌側矯正)
副作用、リスク 歯肉退縮,歯根吸収,疼痛,咬合の違和感,装置の違和感,虫歯,歯肉