当院の症例
装置装着前の口腔内です。
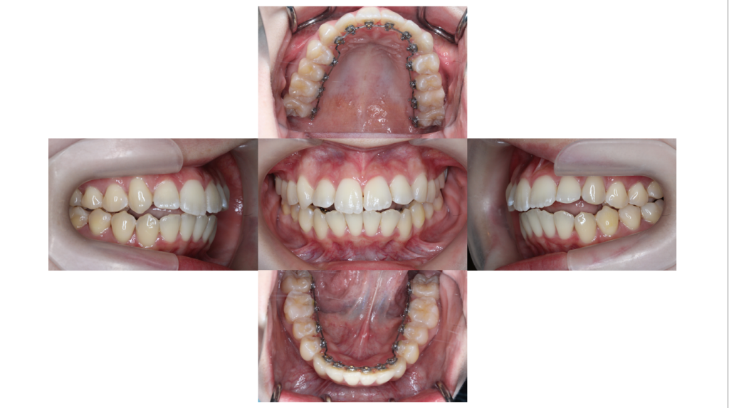
上下装置装着後の口腔内です
右上に他の歯と同じ装置が付きました

バネで拡げていた上下顎前歯に装置が付きました

上下顎、全ての歯に装置が付きました
おおおまかなでこぼこは取れたので、嚙み合わせを調整していきます
| 年齢層 | 20代 |
|---|---|
| 性別 | 女性 |
| 主訴 | 前歯が重なっている |
| 治療費用 | ¥1,397,000(税込み) |
| 治療期間 | 1年3ヶ月(治療中) |
| 抜歯 | 無 |
| 矯正の装置 | 裏側矯正(舌側矯正) |
| 副作用、リスク | 歯肉退縮,歯根吸収,疼痛,咬合の違和感,装置の違和感,虫歯,歯肉 |