menu
close

当院の症例

でこぼこを治したい(治療期間1年6ヶ月/通院回数24回)

叢生・ハーフリンガルの症例

Before

叢生・ハーフリンガルの症例

After

初診

叢生・ハーフリンガルの症例矯正治療開始前の口腔内写真です。

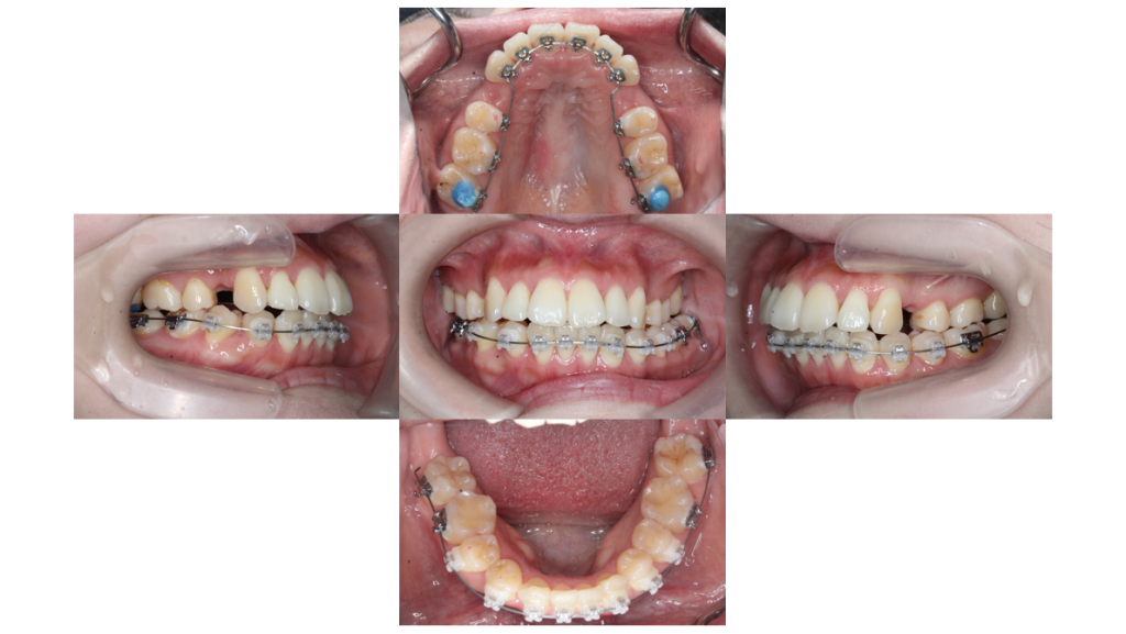
上下装置装着

叢生・ハーフリンガルの症例上下顎に装置装着した口腔内写真です。

約3ヶ月経過

叢生・ハーフリンガルの症例上下ともでこぼこが取れてきました。

約7ヶ月経過

叢生・ハーフリンガルの症例上顎はきれいなアーチになってきました。

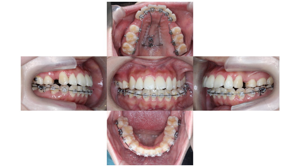
約1年経過

叢生・ハーフリンガルの症例下顎もアーチが少しずつ整ってきました。

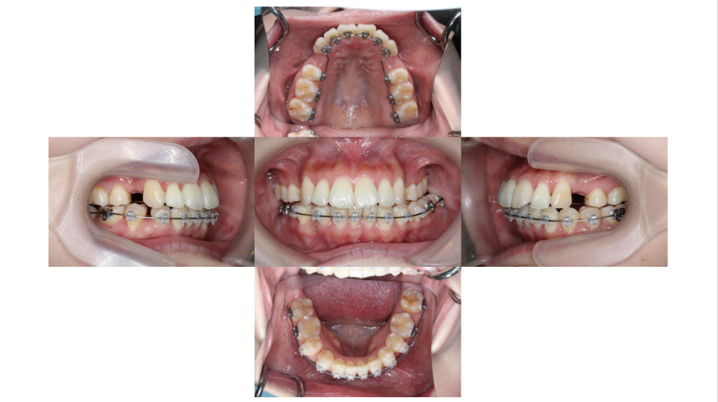
約1年6ヶ月経過

叢生・ハーフリンガルの症例下顎のアーチの歪みを調整していきます。

年齢層 30代
性別 女性
主訴 上下の前歯のでこぼこ、上の両奥歯が外側に向いている
治療費用 ¥1,287,000
治療期間 約1年6ヶ月
抜歯 有(4┴4)
矯正の装置 マルチブラケット装置(ハーフリンガル)
副作用、リスク 歯肉退縮,歯根吸収,疼痛,咬合の違和感,装置の違和感,虫歯,歯肉