menu
close

当院の症例

口元を下げたい(治療期間1年3ヶ月/通院回数27回)

初診

Before

16ヶ月

After

初診

上顎前突・裏側矯正の症例治療開始前の口腔内

上下装置装着

上顎前突・裏側矯正の症例上下装置装着後の口腔内です

約3ヶ月経過

上顎前突・裏側矯正の症例約3ヶ月経過し、ガタつきが改善されてきました

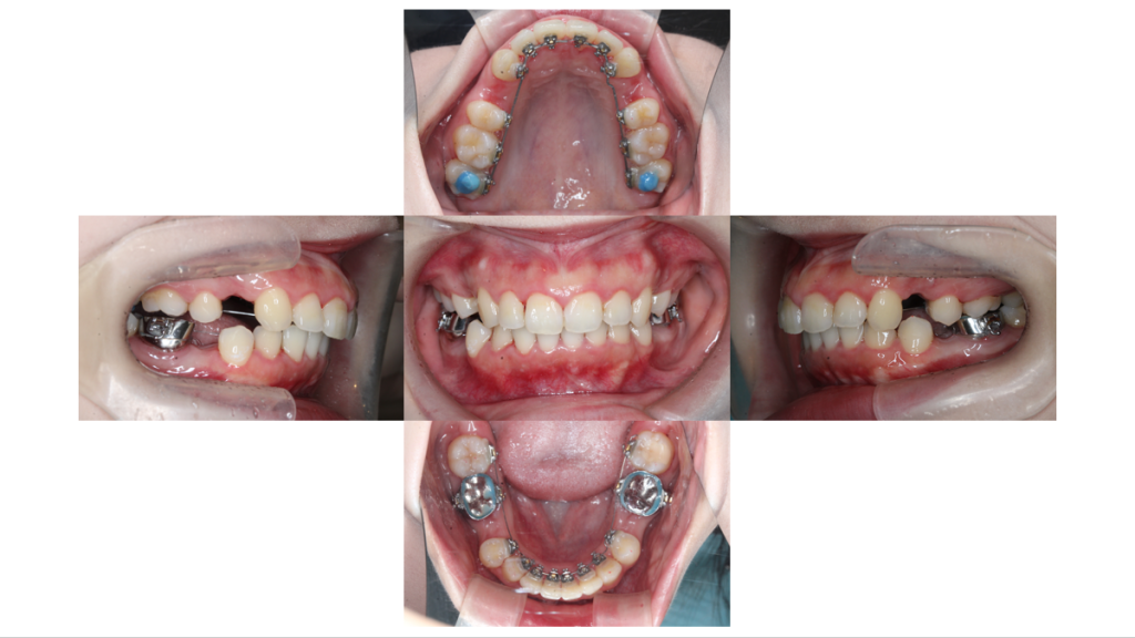
約11ヶ月経過

上顎前突・裏側矯正の症例上の前歯を後ろに下げるための準備として、アンカースクリューを打ちました

約12ヶ月経過

上顎前突・裏側矯正の症例下顎から抜歯したスペースを閉じていきます

約16ヶ月経過

上顎前突・裏側矯正の症例上下とも抜歯窩を閉じるためにゴムで引っ張っていきます

約14ヶ月経過

叢生・裏側矯正の症例下顎の抜歯したスペースを閉じていきます
表側に取り付けたボタンからゴムで引いていきます

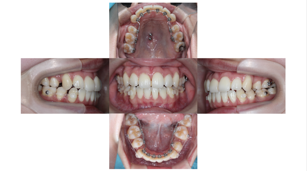
約19ヶ月経過

叢生・裏側矯正の症例上顎のスペースが閉じ、下顎のスペースも残りわずかです
スペースが閉じたらかみ合わせの微調整を行っていきます

年齢層 20代
性別 女性
主訴 口元下げたい、口元が閉じづらい、ガミースマイルと口呼吸を治したい
治療費用 ¥1,397,000
治療期間 1年3ヶ月(治療中)
抜歯 有(4┴4、5┬5)
矯正の装置 裏側矯正(リンガル)
副作用、リスク 歯肉退縮,歯根吸収,疼痛,咬合の違和感,装置の違和感,虫歯,歯肉