menu
close

当院の症例

前歯のでっぱりを治したい(治療期間1年/通院回数12回)

叢生・裏側矯正の症例

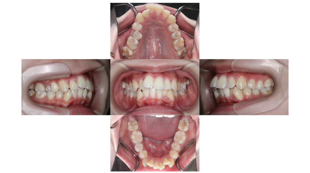
Before

叢生・裏側矯正の症例

After

初診

叢生・裏側矯正の症例治療開始前の口腔内写真です。

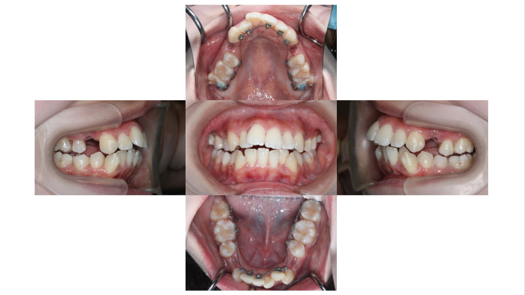
上下装置装着

叢生・裏側矯正の症例上下装置装着直後の口腔内です。

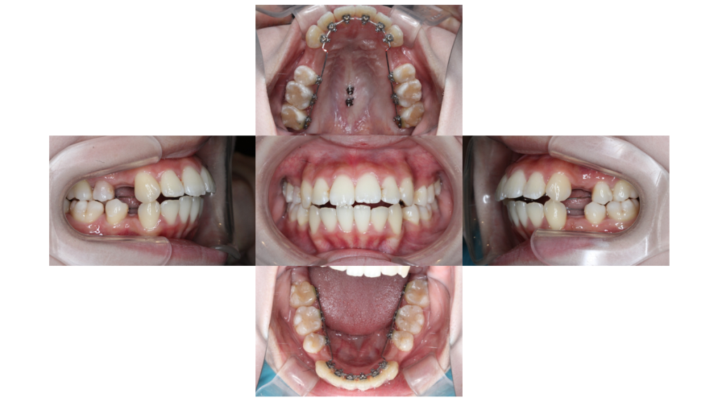
2ヶ月経過

叢生・裏側矯正の症例バネで広げていた前歯にも装置が付きました。

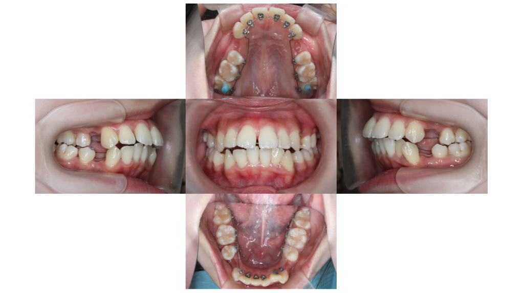
3ヶ月経過

叢生・裏側矯正の症例上顎と同じようにバネで広げていた下顎前歯部にも装置が付きでこぼこが解けてきました。

8ヶ月経過

叢生・裏側矯正の症例前歯の隙間が閉じ、きれいなアーチに近づいてきました。

アンカースクリュー埋入

叢生・裏側矯正の症例抜歯窩のスペースクローズに使用するアンカースクリューを上顎に埋入しました。

年齢層 20代
性別 女性
主訴 上の前歯のでっぱりと斜めっている、右上前歯の引っ込み、下の前歯のでこぼこ
治療費用 ¥1,397,000(税込)
治療期間 1年(治療中)
抜歯 有(4┼4)
矯正の装置 裏側矯正(舌側矯正)
副作用、リスク 副作用:歯肉退縮,歯根吸収,疼痛,咬合の違和感,装置の違和感,虫歯,歯肉