menu
close

八重歯(ガチャ歯)を治したい

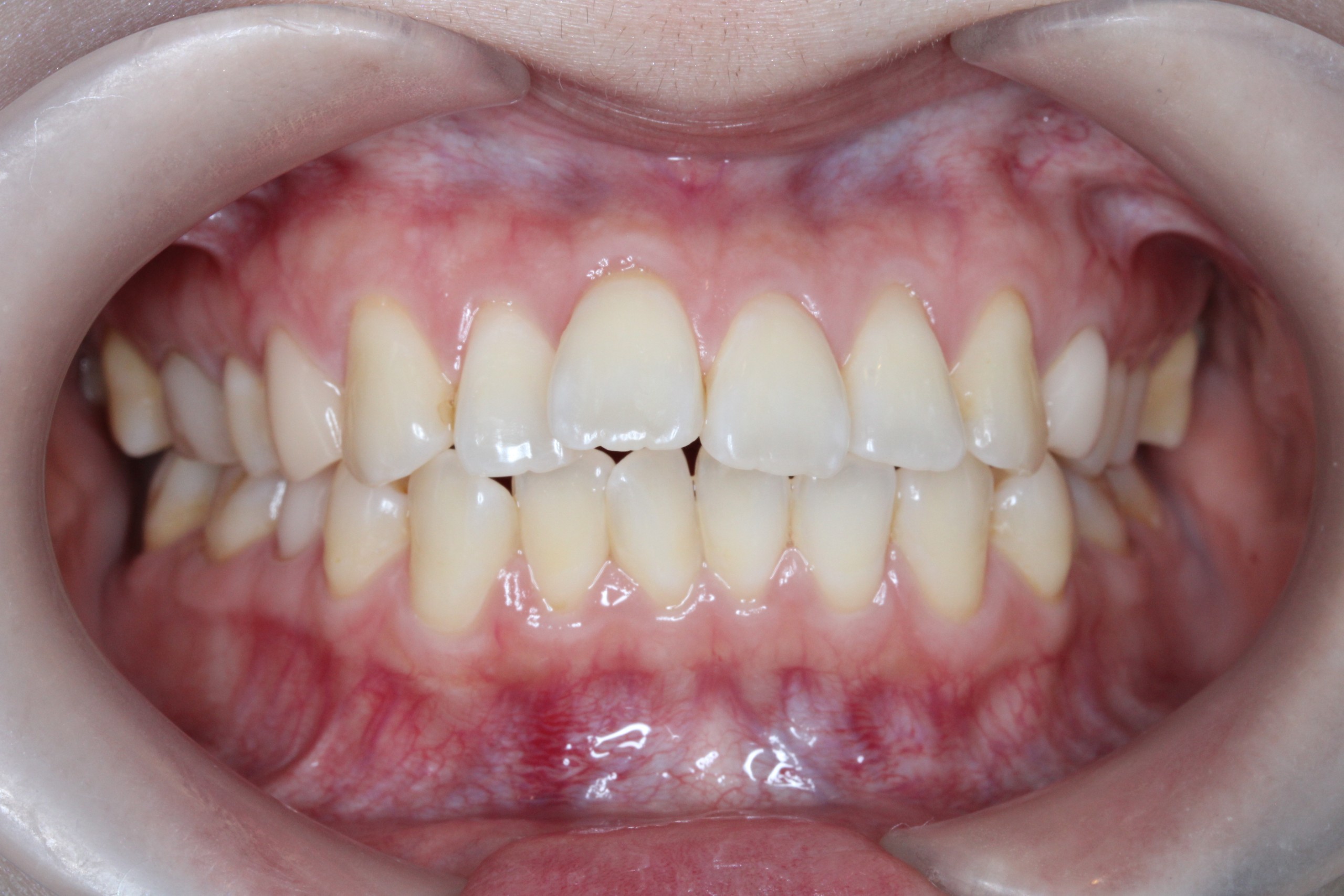
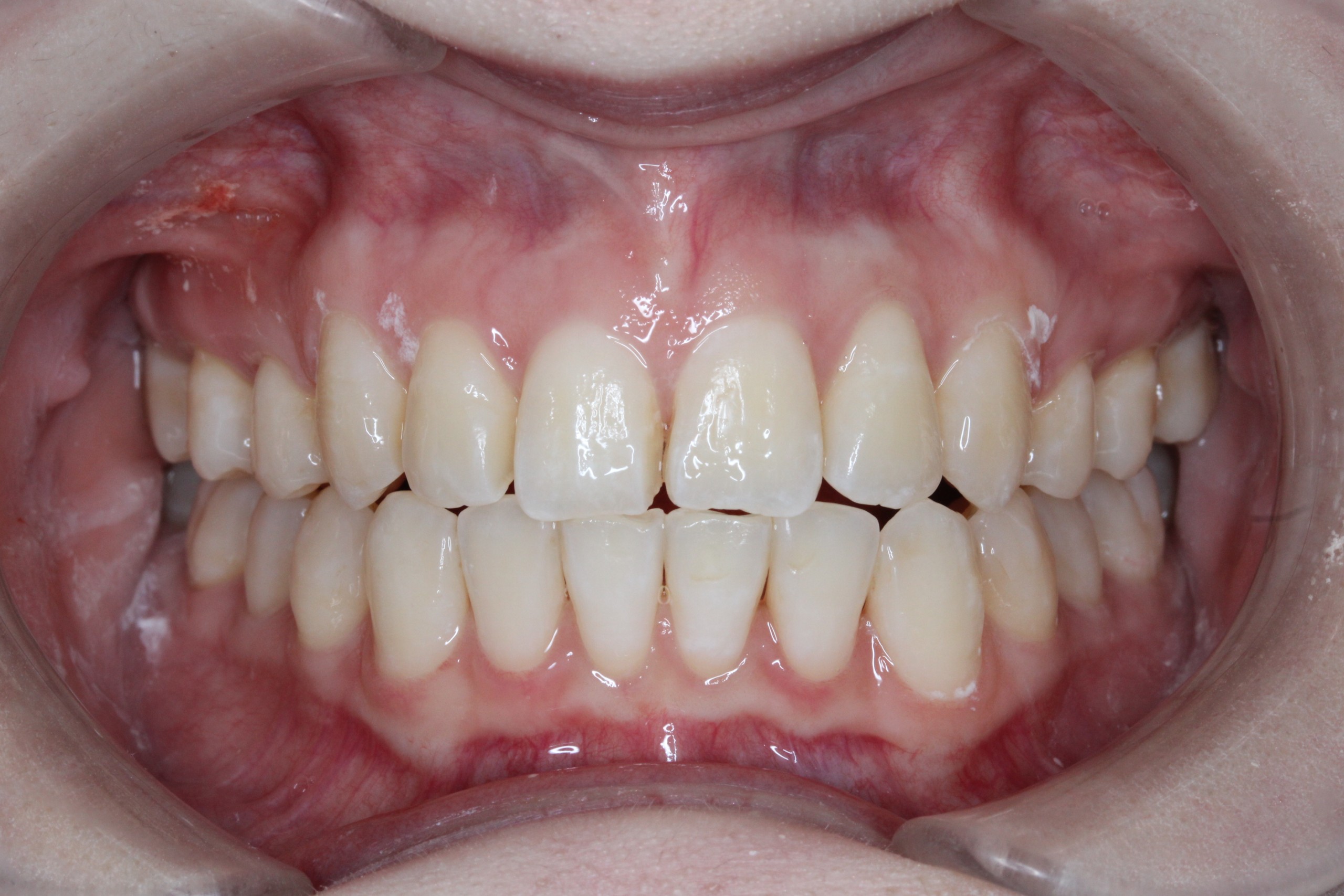
前歯のでこぼこを治したい(治療期間:1年10か月/治療回数28回)

年齢層 40代
性別 女性
主訴 ・前歯のでこぼこ
治療費用 ¥1,320,000
治療期間 1年10か月(治療中)
抜歯 非抜歯
矯正の装置 マルチブラケット装置(裏側矯正)
副作用、リスク 歯肉退縮,歯根吸収,疼痛,咬合の違和感,装置の違和感,虫歯,歯肉炎
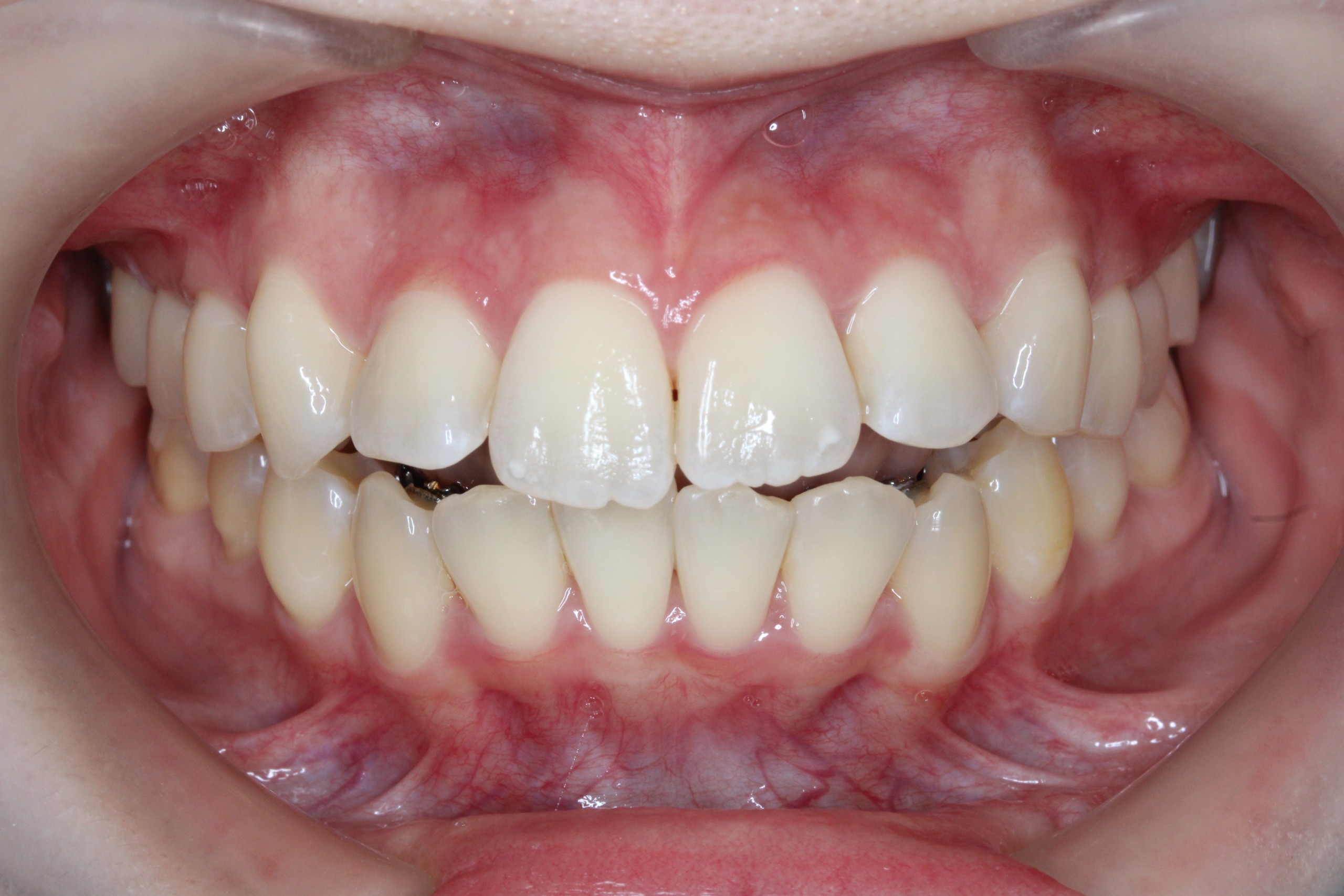
裏側矯正 過蓋咬合症例

Before

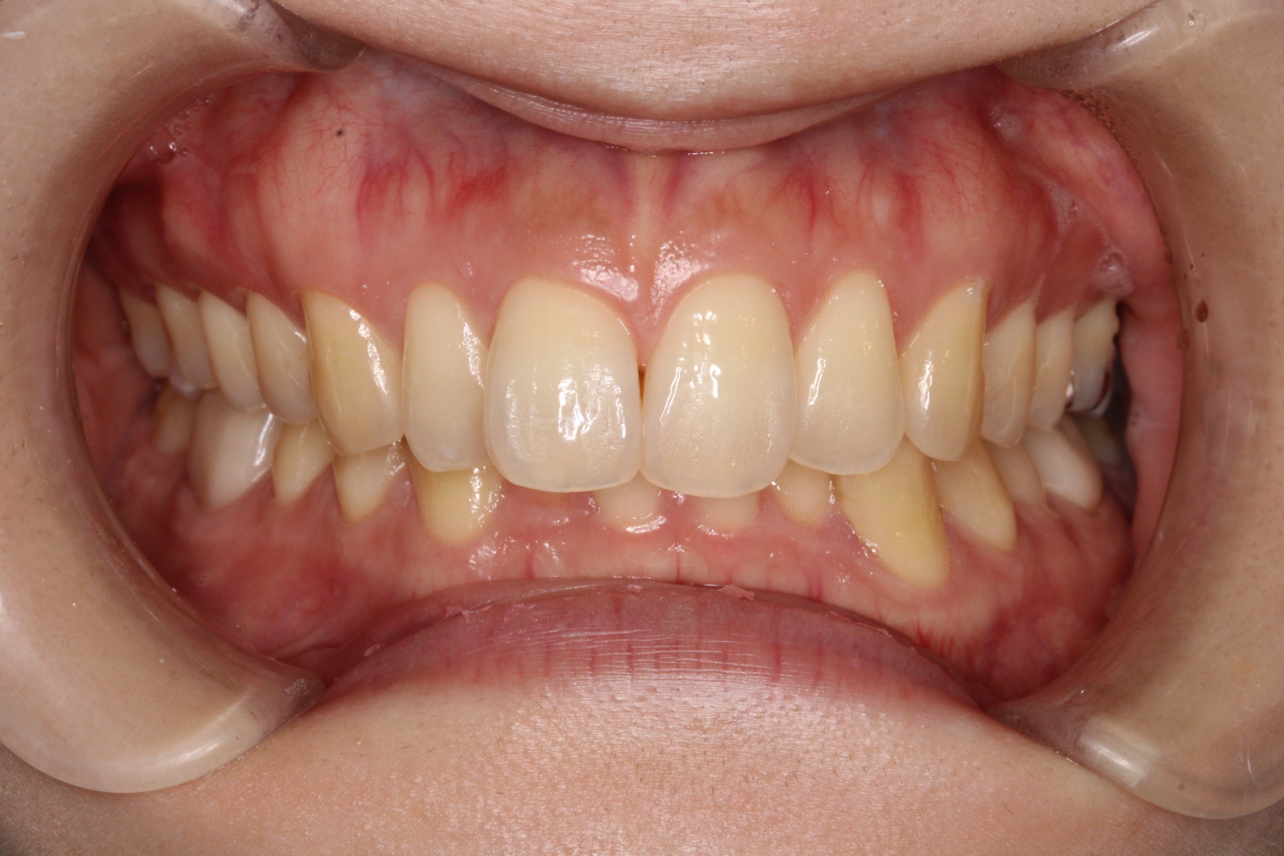
裏側矯正 過蓋咬合症例

After

詳しく見る

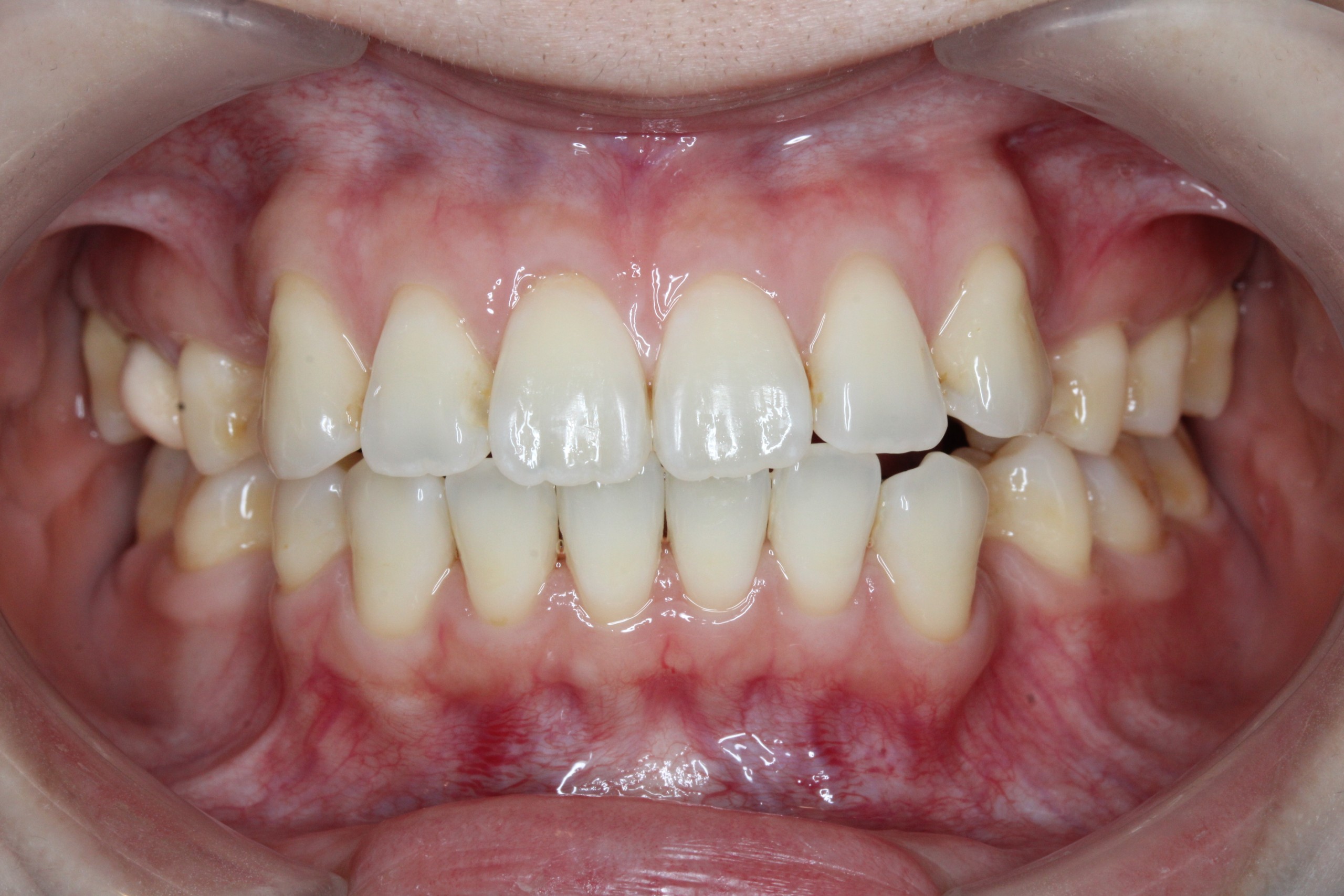
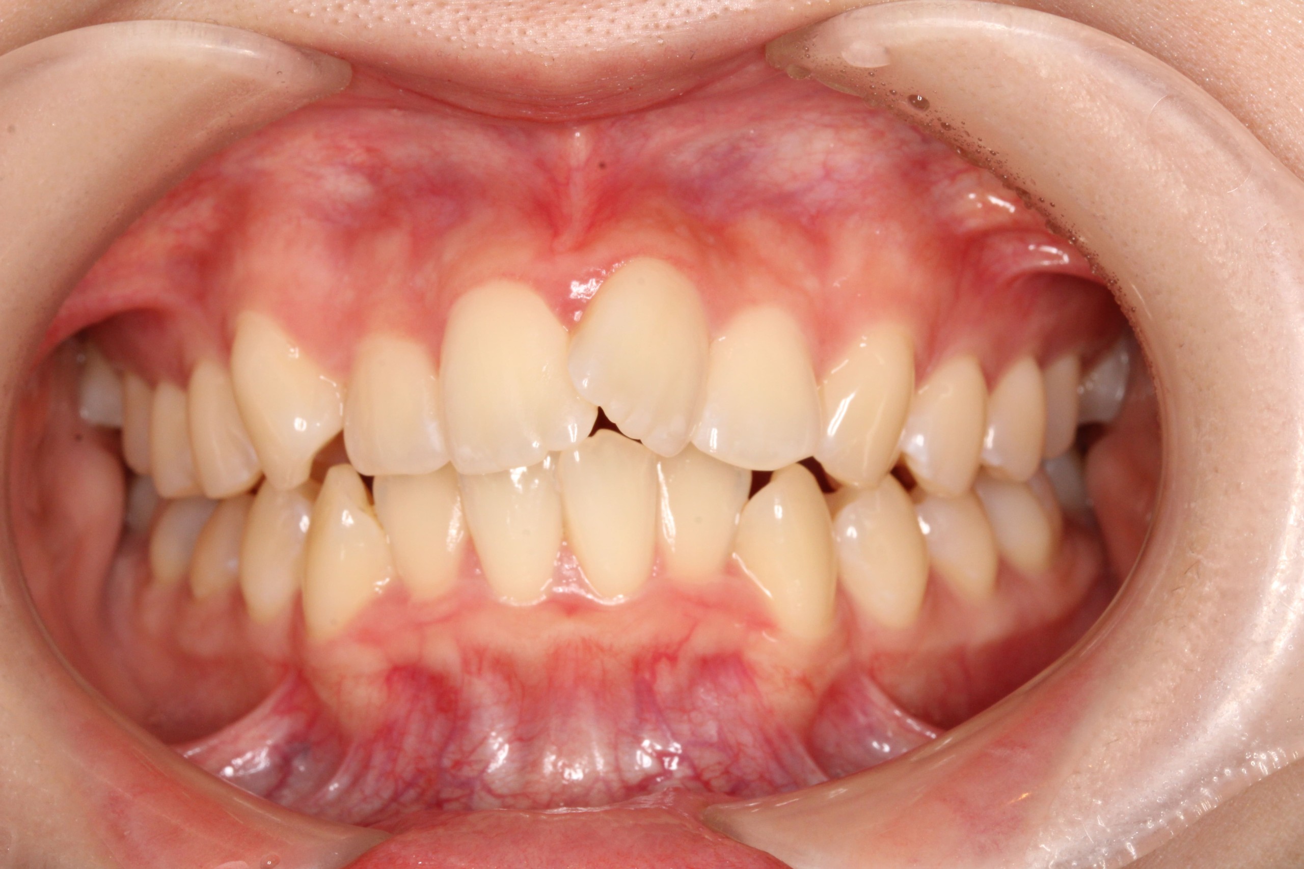
口元を下げたい(治療期間:2年3か月/治療回数:32回)

年齢層 20代
性別 女性
主訴 ・上下前歯のでこぼこ・口元を下げたい
治療費用 ¥1,287,000
治療期間 2年3か月(治療中)
抜歯 上顎両側第一小臼歯、下顎右側第二大臼歯、下顎左側第一小臼歯
矯正の装置 マルチブラケット装置(裏側矯正)
副作用、リスク 歯肉退縮,歯根吸収,疼痛,咬合の違和感,装置の違和感,虫歯,歯肉炎
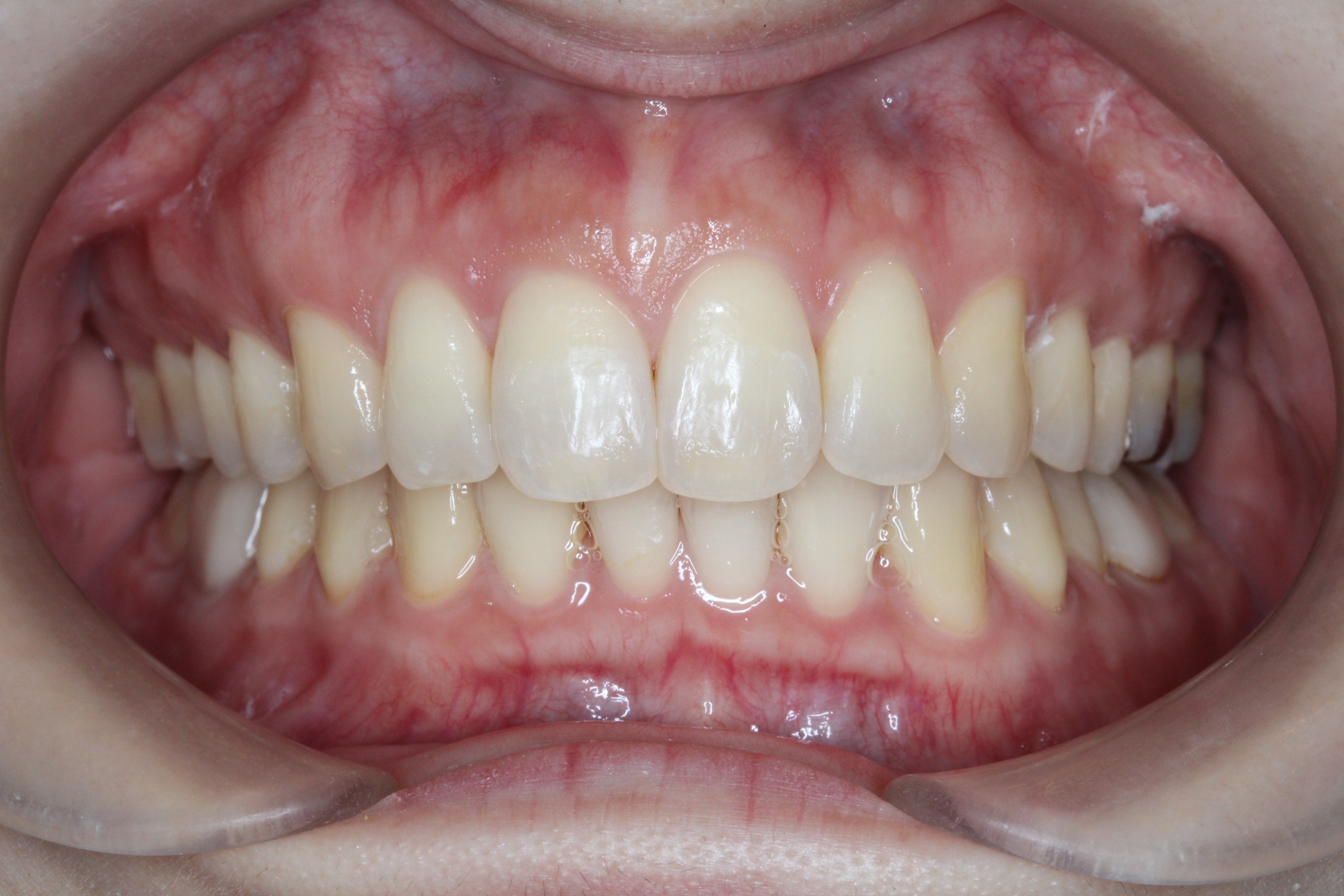
裏側矯正 上下顎前突症例

Before

裏側矯正 上下顎前突症例

After

詳しく見る

上の歯のでこぼこを治したい(治療期間:約2年/治療回数20回)

年齢層 20代
性別 女性
主訴 ・上の歯のでこぼこ・1┴1曲がっている
治療費用 ¥1,375,000
治療期間 約2年(最終微調整はマウスピース矯正に移行する予定です。)
抜歯 非抜歯
矯正の装置 マルチブラケット装置(裏側矯正)
副作用、リスク 歯肉退縮,歯根吸収,疼痛,咬合の違和感,装置の違和感,虫歯,歯肉炎
裏側矯正 叢生症例

Before

裏側矯正 叢生症例

After

詳しく見る

前歯のでっぱりで口が閉じずらい(治療期間約8か月/治療回数8回)

年齢層 30代
性別 女性
主訴 ・前歯のでっぱりで口が閉じずらい・舌癖を治したい・かみ合わせが悪い
治療費用 ¥1,287,000(税込)
治療期間 約8か月
抜歯 上顎両側第一小臼歯、下顎右側第二小臼歯、下顎左側第一小臼歯
矯正の装置 マルチブラケット装置(裏側矯正)
副作用、リスク 歯肉退縮,歯根吸収,疼痛,咬合の違和感,装置の違和感,虫歯,歯肉炎
裏側矯正 叢生上顎前突症例

Before

裏側矯正 叢生上顎前突症例

After

詳しく見る

前歯が重なっている(治療期間:1年3ヶ月/通院回数:18回)

年齢層 20代
性別 女性
主訴 前歯が重なっている
治療費用 ¥1,397,000(税込み)
治療期間 1年3ヶ月(治療中)
抜歯
矯正の装置 裏側矯正(舌側矯正)
副作用、リスク 歯肉退縮,歯根吸収,疼痛,咬合の違和感,装置の違和感,虫歯,歯肉
叢生・裏側矯正の症例

Before

叢生・裏側矯正の症例

After

詳しく見る

でこぼこな歯並びを治したい(治療期間3年/治療回数46回)

年齢層 20代
性別 女性
主訴 ・1┴1でっぱり・凸凹な歯並び・Eライン・上下のかみ合わせ
治療費用 ¥1,320,000
治療期間 約3年(治療中)
抜歯 上下顎両側第一小臼歯
矯正の装置 マルチブラケット装置(裏側矯正)
副作用、リスク 歯肉退縮,歯根吸収,疼痛,咬合の違和感,装置の違和感,虫歯,歯肉炎
裏側矯正 叢生症例

Before

裏側矯正 叢生症例

After

詳しく見る

でこぼこを治したい(治療期間1年6ヶ月/通院回数24回)

年齢層 30代
性別 女性
主訴 上下の前歯のでこぼこ、上の両奥歯が外側に向いている
治療費用 ¥1,287,000
治療期間 約1年6ヶ月
抜歯 有(4┴4)
矯正の装置 マルチブラケット装置(ハーフリンガル)
副作用、リスク 歯肉退縮,歯根吸収,疼痛,咬合の違和感,装置の違和感,虫歯,歯肉
叢生・ハーフリンガルの症例

Before

叢生・ハーフリンガルの症例

After

詳しく見る

でこぼこを治したい(治療期間:6ヶ月/治療回数:14回)

年齢層 20代
性別 女性
主訴 上の前歯のでこぼこ、前歯の後ろに歯が生えている
治療費用 ¥1,397,000(税込)
治療期間 約6ヶ月(治療中)
抜歯 有(4┴4、4┬5)
矯正の装置 裏側矯正(舌側矯正)
副作用、リスク 歯肉退縮,歯根吸収,疼痛,咬合の違和感,装置の違和感,虫歯,歯肉炎
叢生・裏側矯正の症例

Before

叢生・裏側矯正の症例

After

詳しく見る

八重歯のでっぱりを治したい(治療期間6か月/治療回数8回)

年齢層 20代
性別 女性
主訴 ・八重歯のでっぱり・3⏇3凸凹・正中線のズレ
治療費用 ¥1,287,000
治療期間 6か月(治療中)
抜歯 上顎両側第一小臼歯
矯正の装置 裏側矯正(舌側矯正)
副作用、リスク 歯肉退縮,歯根吸収,疼痛,咬合の違和感,装置の違和感,虫歯,歯肉炎
裏側矯正 叢生症例

Before

裏側矯正 叢生症例

After

詳しく見る

前歯のでこぼこを治したい(治療期間1年9ヶ月/通院回数22回)

年齢層 20代
性別 女性
主訴 上の前歯のでっぱり、上下前歯のでこぼこ
治療費用 ¥1,397,000
治療期間 1年9ヶ月(治療中)
抜歯 有(4┴4)
矯正の装置 コンビネーション矯正(リンガル+マウスピース)
副作用、リスク 歯肉退縮,歯根吸収,疼痛,咬合の違和感,装置の違和感,虫歯,歯肉炎
叢生・コンビネーション矯正の症例

Before

叢生・コンビネーション矯正の症例

After

詳しく見る

前歯のでっぱりを治したい(治療期間1年/通院回数12回)

年齢層 20代
性別 女性
主訴 上の前歯のでっぱりと斜めっている、右上前歯の引っ込み、下の前歯のでこぼこ
治療費用 ¥1,397,000(税込)
治療期間 1年(治療中)
抜歯 有(4┼4)
矯正の装置 裏側矯正(舌側矯正)
副作用、リスク 副作用:歯肉退縮,歯根吸収,疼痛,咬合の違和感,装置の違和感,虫歯,歯肉
叢生・裏側矯正の症例

Before

叢生・裏側矯正の症例

After

詳しく見る

前歯のでこぼこを治したい(治療期間1年2ヶ月/治療回数22回)

年齢層 40代
性別 女性
主訴 ・└3でっぱり・└2が引っ込んでいる
治療費用 ¥1,199,000
治療期間 1年2ヶ月(最終微調整をマウスピース矯正で治療中)
抜歯 非抜歯
矯正の装置 ハーフリンガル矯正
副作用、リスク 歯肉退縮,歯根吸収,疼痛,咬合の違和感,装置の違和感,虫歯,歯肉炎
ハーフリンガル矯正 叢生症例

Before

ハーフリンガル矯正 叢生症例

After

詳しく見る

でこぼこを治したい(治療期間9ヶ月 / 通院回数9回)

年齢層 20代
性別 女性
主訴 全体的なでこぼこ、)正中線のズレ、Eラインを整えたい
治療費用 ¥1,287,000(税込み)
治療期間 9ヶ月(2025年11月時点)
抜歯 有(4┴4、4┬5)
矯正の装置 ハーフリンガル(上:表側、下:裏側)
副作用、リスク 歯肉退縮,歯根吸収,疼痛,咬合の違和感,装置の違和感,虫歯,歯肉
叢生、ハーフリンガルの症例

Before

叢生・ハーフリンガルの症例

After

詳しく見る

でこぼこを治したい(治療期間8ヶ月/通院回数7回)

年齢層 20代
性別 女性
主訴 上の前歯が引っ込んでいる、でこぼこな歯並びを治したい
治療費用 ¥1,397,000
治療期間 8ヶ月(25年11月時点)
抜歯 有(4┼4)
矯正の装置 裏側矯正(舌側矯正)
副作用、リスク 歯肉退縮,歯根吸収,疼痛,咬合の違和感,装置の違和感,虫歯,歯肉
叢生・裏側矯正の症例

Before

叢生・裏側矯正の症例

After

詳しく見る

下の歯が前に出ているのを治したい(治療期間1年3か月/通院回数17回)

年齢層 20代
性別 女性
主訴 ・上下全体的なでこぼこ・上下のかみ合わせ・正中線のズレ・下の歯が前に出ている
治療費用 ¥1,320,000
治療期間 1年3ヶ月(治療中)
抜歯 4┼4
矯正の装置 裏側矯正(舌側矯正)
副作用、リスク 歯肉退縮,歯根吸収,疼痛,咬合の違和感,装置の違和感,虫歯,歯肉炎
裏側矯正 叢生・下顎前突症例

Before

裏側矯正 叢生・下顎前突症例

After

詳しく見る

上の歯のでこぼこを治したい(治療期間1年8ヶ月/通院回数18回)

年齢層 20代
性別 女性
主訴 上の歯のでこぼこ・八重歯のでっぱり
治療費用 ¥1,397,000
治療期間 1年8ヶ月
抜歯 有(4┴4)
矯正の装置 裏側矯正(舌側矯正)
副作用、リスク 歯肉退縮,歯根吸収,疼痛,咬合の違和感,装置の違和感,虫歯,歯肉炎
裏側矯正・叢生の症例

Before

裏側矯正・叢生の症例

After

詳しく見る

上の前歯が出ているのを治したい(通院期間1年10か月/治療回数35回)

年齢層 20代
性別 男性
主訴 ・上の歯が出ているのを治したい・右上奥と前歯のがたつき・噛み合わせが深い
治療費用 ¥1,320,000
治療期間 1年10か月(治療中)
抜歯 4┴4
矯正の装置 裏側矯正(舌側矯正)
副作用、リスク 歯肉退縮,歯根吸収,疼痛,咬合の違和感,装置の違和感,虫歯,歯肉炎
裏側矯正 上顎前突症例

Before

裏側矯正 上顎前突症例

After

詳しく見る

前歯のでっぱりを治したい(治療期間:8ヶ月/通院10回)

年齢層 20代
性別 女性
主訴 上の前歯のでっぱり、右上前歯の傾き
治療費用 ¥1,397,000
治療期間 8ヶ月
抜歯 有(5┼5)
矯正の装置 裏側矯正(舌側矯正)
副作用、リスク 歯肉退縮,歯根吸収,疼痛,咬合の違和感,装置の違和感,虫歯,歯肉炎
前歯のでこぼこ・裏側全体矯正の症例

Before

叢生・裏側全体矯正の症例

After

詳しく見る

歯の凸凹を治したい

年齢層 30代
性別 男性
主訴 【主訴】歯の凸凹を治したい 【診断・症状】上下凸凹
治療費用 検査・診断:38,500-/裏側矯正治療:1,397,000-(※全て税込)
治療期間 約3年半(45回)
抜歯 有(上4,4、左下4)
矯正の装置 裏側矯正(舌側矯正)
副作用、リスク 歯肉退縮,歯根吸収,疼痛,咬合の違和感,装置の違和感,虫歯,歯肉炎
case23_歯の凹凸_before

Before

247M_A230_case23_歯の凹凸_after

After

詳しく見る

出っ歯を治したい

年齢層 20代
性別 男性
主訴 【主訴】出っ歯を治したい 【診断・症状】上下凸凹、出っ歯(上顎前突)
治療費用 検査・診断:38,500-/裏側矯正治療:1,397,000-(※全て税込)
治療期間 約1年半(20回)
抜歯 有(上4,4のみ)
矯正の装置 裏側矯正(舌側矯正)
副作用、リスク 歯肉退縮,歯根吸収,疼痛,咬合の違和感,装置の違和感,虫歯,歯肉炎
case15_出っ歯_before

Before

case15_出っ歯_after

After

詳しく見る